Osteoporotic distal femur fractures in the elderly: peculiarities and treatment strategies
- PMID: 31821280
- PMCID: PMC7233703
- DOI: 10.23750/abm.v90i12-S.8958
Osteoporotic distal femur fractures in the elderly: peculiarities and treatment strategies
Abstract
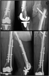
Distal femur fractures account for 4-6% of osteoporosis related fractures of the femur in the elderly population. They represent a relevant cause of morbidity and mortality in the geriatric population with a reported 1-year mortality reaching 30%. Non-displaced fractures or even displaced fractures in patients with high operative risk can be treated conservatively. However, operative treatment is the most widely accepted management option for displaced fractures. The advantage resides in early mobilization and weight-bearing, reducing risks related with a prolonged immobilization when compared with conservative treatment. On the other hand, the intrinsic difficulty of fixing an osteoporotic bone is a major concern. The presence of osteosynthesis devices or prosthetic implants in the femur can make the surgical treatment more challenging, sometimes limiting therapeutic options. Aim of the present paper is to review the most recent literature about osteoporotic distal femur fractures in the elderly, including periprosthetic and other hardware related fractures, to highlight current evidence on management options and related results as a guide for the daily clinical practice.
Conflict of interest statement
Each author declares that he or she has no commercial associations (e.g. consultancies, stock ownership, equity interest, patent/licensing arrangement etc.) that might pose a conflict of interest in connection with the submitted article
Figures



References
-
- Myers P, Laboe P, Johnson KJ, Fredericks PD, Crichlow RJ, Maar DC, et al. Patient Mortality in Geriatric Distal Femur Fractures. J Orthop Trauma. 2018 Mar;32(3):111–115. - PubMed
-
- Athar SM, Fazal MA, Hassan M, Ashwood N. Distal Femoral Fractures in the Elderly: Does Early Treatment with Locking Plates Reduce Mortality Rates. Clin Res Open Access. 2017;3(1)
-
- Jordan RW, Chahal GS, Davies M, Srinivas K. A Comparison of Mortality following Distal Femoral Fractures and Hip Fractures in an Elderly Population. Adv Orthop Surg. vol. 2014 Article ID 873785, 4 pages, 2014. https://doi.org/10.1155/2014/873785 .
-
- Ehlinger M, Ducrot G, Adam P, Bonnomet F. Distal femur fractures. Surgical techniques and a review of the literature. Orthop Traumatol Surg Res. 2013 May;99(3:3):53–60. - PubMed
Publication types
MeSH terms
LinkOut - more resources
Full Text Sources
Medical