Chronic gastric volvulus-Case report of an uncommon diagnosis
- PMID: 31841973
- PMCID: PMC6920226
- DOI: 10.1016/j.ijscr.2019.11.029
Chronic gastric volvulus-Case report of an uncommon diagnosis
Abstract
Introduction: Gastric volvulus is an uncommon condition that results from the torsion of the stomach upon its axis. Although rare, it can present as an acute medical emergency, therefore its diagnosis should not be overlooked. In this article we aim to present a case of a patient with chronic gastric volvulus operated in our hospital. We also aim to discuss this condition.
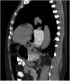
Presentation of case: We report the case of a 61 year old, healthy male, referred to surgical consultation complaining of epigastric discomfort and postprandial fullness. The diagnostic workup showed a mesentero-axial volvulus of the stomach. He was operated electively: reduction of volvulus, Nissen fundoplication and gastropexy was performed, with resolution of symptoms.
Discussion: There are several predisposing factors for the development of a gastric volvulus. It is classified according to the axis upon the rotation of the stomach occurs. The treatment of gastric volvulus may differ in the acute or chronic setting.
Conclusion: Diagnosis of a chronic gastric volvulus requires a high index of suspicion. Surgical repair should be done to prevent an acute complication.
Keywords: Case report; Gastric volvulus; Hiatal hernia; Nissen fundoplication.
Copyright © 2019. Published by Elsevier Ltd.
Conflict of interest statement
Declaration of Competing Interest The authors declare no conflicts of interest.
Figures


References
-
- Gore R., Levine M. 4th ed. Saunders; 2015. Textbook of Gastrointestinal Radiology; pp. 603–629.
-
- Feldman M., Friedman L., Brandt L. 10th ed. Saunders; 2016. Sleisenger and Fordtran’s Gastrointestinal and Liver Disease; pp. 407–425.
-
- Adam A., Dixon A., Gillard J., Schaefer-Prokop C. 6th ed. Elsevier; 2015. Grainger & Allison’s Diagnostic Radiology; pp. 627–652.
-
- Bauman Z., Evans C. Volvulus. SurgClinNAm. 2018;98:973–993. - PubMed
-
- Rashid F., Thangarah T., Mulvey D., Larvin M., Iftikhar S.Y. A review article on gastric volvulus: a challenge to diagnosis and management. Int. J. Surg. 2010;11:18–24. - PubMed
Publication types
LinkOut - more resources
Full Text Sources
Research Materials