Tardive Reactivation of Progressive Multiple Sclerosis During Treatment with Biotin
- PMID: 31858407
- PMCID: PMC7229143
- DOI: 10.1007/s40120-019-00175-2
Tardive Reactivation of Progressive Multiple Sclerosis During Treatment with Biotin
Abstract
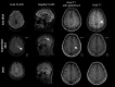
Multiple sclerosis (MS) is a common autoimmune disease of the central nervous system, causing neurological disability in young adults. A growing understanding of its immunopathogenesis has led to an expanding array of therapies. Notable new advances in disease-modifying therapies for relapsing forms of multiple sclerosis that are based on anti-inflammatory activity have recently been developed. Management of progressive MS is still challenging. Data published in 2014 suggested that daily high doses of biotin, a vitamin involved in myelin synthesis, might have a beneficial impact on disability and progression in progressive MS. However, some patients worsened while on biotin without any clear explanation for this effect. We report the case of a 41-year-old patient suffering from primary progressive (PP) MS who presented after 16 months of treatment with high doses of biotin (QIZENDAY) with worsening of his Expanding Disability Status Scale (EDSS) score and the appearance of a symptomatic new T2 pseudo-tumoural lesion on brain magnetic resonance imaging (MRI), suggestive of tardive inflammatory reactivation possibly due to the biotin. The newer and more effective therapies for MS are, however, associated with risks that necessitate an active management strategy and continuous vigilance. Physicians should be aware of iatrogenic neurological complications and the possible paradoxical effects of biotin. Future treatment approaches to progressive MS must include identification of a biomarker of disease activity. The study of neurofilaments in the cerebrospinal fluid (CSF) and the serum could be of interest when determining the optimal treatment strategy.
Keywords: Adverse drug reaction; Biotin; MRI; Multiple sclerosis; Pseudo-tumoral lesion.
Conflict of interest statement
Alexis Demas, Jean-Philippe Cochin, Clémence Hardy, Yvan Vaschalde, Bertrand Bourre and Pierre Labauge have nothing to disclose.
Figures

References
-
- Deisenhammer F, Auer M, Hegen H. Ocrelizumab in primary progressive and relapsing multiple sclerosis. N Engl J Med. 2017;376(17):1693–1694. - PubMed
LinkOut - more resources
Full Text Sources
Miscellaneous