The Role of Stem Cell Factor in Hyperpigmented Skin Lesions
- PMID: 31870114
- PMCID: PMC7173358
- DOI: 10.31557/APJCP.2019.20.12.3723
The Role of Stem Cell Factor in Hyperpigmented Skin Lesions
Abstract
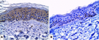
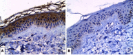
Background: Skin hyperpigmentation usually results from an increased number, or activity, of melanocytes. The degree of pigmentation of skin depends on the amount and type of melanin, degree of skin vascularity, presence of carotene, and thickness of the stratum corneum. Common causes of hyperpigmentation include post-inflammatory hyperpigmentation, melasma, solar lentigines, ephelides (freckles), and café-au-lait macules. Some skin tumors can be hyperpigmented as basal cell carcinoma (BCC), squamous cell carcinoma (SCC) and malignant melanoma (MM). Stem cell factor (SCF) is a growth factor and its interaction with its receptor, c-kit, is well known to be critical to the survival of melanocytes.
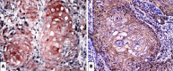
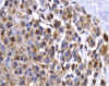
Methods: This study was carried out on 60 patients complaining of hyperpigmented skin lesions (20 melasma, 20 solar lentigines, and 20 freckles) and 36 patients with skin tumors (14 BCC, 12 SCC, and 10 MM). Punch skin biopsies were taken from the previous lesions. Immunohistochemical staining of these samples was done using the stem cell factor (SCF).
Results: There was positive expression of SCF in all cases of melasma, solar lentigines and freckles with significant increase in the intensity of expression in the lesional areas than the non-lesional ones (P=0.004). There was also a statistically significant increase in the expression of SCF in BCC and melanoma tumor cells.
Conclusion: SCF has a great role in skin hyperpigmented disorders and this can be used as a target for the developing of new antipigmentary lines of treatment by inhibiting SCF. SCF can also be involved in the emergence of some skin tumors.
Keywords: Basal cell carcinoma; Melanoma; Stem cell factor; melasma.
Figures






References
-
- Bastiaens M, Hoefnagel J, Westendorp R, Vermeer BJ, Bouwes Bavinck JN. Solar lenrigines are strongly related to sun exposure in contrast to ephelides. Pigment Cell Res. 2004;17:225–9. - PubMed
MeSH terms
Substances
LinkOut - more resources
Full Text Sources
Other Literature Sources
Medical
Research Materials