Skip to main page content
U.S. flag

An official website of the United States government

Dot gov

The .gov means it’s official.
Federal government websites often end in .gov or .mil. Before sharing sensitive information, make sure you’re on a federal government site.

Https

The site is secure.
The https:// ensures that you are connecting to the official website and that any information you provide is encrypted and transmitted securely.

Access keys NCBI Homepage MyNCBI Homepage Main Content Main Navigation
Case Reports
. 2019 Nov 22;11(11):e6216.
doi: 10.7759/cureus.6216.

Vaping-associated Lung Injury

Affiliations
Case Reports

Vaping-associated Lung Injury

Ghulam Aftab et al. Cureus. .

Abstract

Many cases related to vaping-associated lung injury have recently been reported to the Center for Disease Control (CDC). It is, therefore, important for clinicians to be aware of this disease. Here, we present the case of a 46-year-old female patient, who had recently started vaping. She presented to the hospital with dyspnea; since her condition deteriorated quickly, she was mechanically ventilated for acute respiratory failure. When a computed tomography angiography (CTA) chest was performed, patchy alveolar opacities were seen throughout both lungs. The patient's workup for infectious and cardiac etiology was negative. She was diagnosed with vaping-associated lung injury. Later, she recovered and was discharged to a rehabilitation center.

Keywords: lung injury; vaping.

PubMed Disclaimer

Conflict of interest statement

The authors have declared that no competing interests exist.

Figures

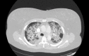
Figure 1
Figure 1. CTA chest showing bilateral alveolar opacities.
CTA: Computed tomography angiography
Figure 2
Figure 2. Oil Red O stained pulmonary macrophage (center of the picture), surrounded by pulmonary macrophages not stained by Oil Red O stain.

References

    1. E-cigarettes—an unintended illicit drug delivery system. Breitbarth AK, Morgan J, Jones AL. Drug Alcohol Depend. 2018;192:98–111. - PubMed
    1. Outbreak of lung injury associated with the use of e-cigarette, or vaping, products. [Nov;2019 ];https://www.cdc.gov/tobacco/basic_information/e-cigarettes/severe-lung-d... 2019
    1. New CDC report provides first analysis of lung injury deaths associated with use of e-cigarette, or vaping, products. [Oct;2019 ];https://www.cdc.gov/media/releases/2019/p1028-first-analysis-lung-injury... 2019
    1. Acute eosinophilic pneumonia. Causes, diagnosis, and management. De Giacomi F, Vassallo R, Yi ES, Ryu JH. Am J Respir Crit Care Med. 2018;197:728–736. - PubMed
    1. Pulmonary illness related to e-cigarette use in Illinois and Wisconsin—preliminary report. (Epub ahead of print) Layden JE, Ghinai I, Pray I, et al. N Engl J Med. 2019 - PubMed

Publication types

LinkOut - more resources