Spinal infarction caused by hypovolemic shock following massive bleeding from stab wounds to the neck
- PMID: 31890834
- PMCID: PMC6928351
- DOI: 10.1016/j.tcr.2019.100269
Spinal infarction caused by hypovolemic shock following massive bleeding from stab wounds to the neck
Erratum in
-
Erratum regarding missing Declaration of Competing Interest statements in previously published articles.Trauma Case Rep. 2023 Feb 17;45:100793. doi: 10.1016/j.tcr.2023.100793. eCollection 2023 Jun. Trauma Case Rep. 2023. PMID: 37234585 Free PMC article.
-
Erratum regarding missing patient consent statement in previously published articles.Trauma Case Rep. 2023 Mar 1;45:100814. doi: 10.1016/j.tcr.2023.100814. eCollection 2023 Jun. Trauma Case Rep. 2023. PMID: 37234592 Free PMC article.
Abstract
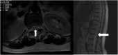
A 59-year-old female was brought to our emergency department with hypovolemic shock caused by massive bleeding from neck stab wounds inflicted by herself in a committed suicide. The patient complained of comparatively strong pain on her lower back and there was sensory and motor disturbance of bilateral lower limbs, but there was no trauma on the lumber region, the spine, or the vertebrae. After hemostasis, we performed magnetic resonance imaging, which demonstrated high intensity signal in the spinal and longitudinal area from the Th8 to the conus medullaris, and at center of the frontal horn on the upper thoracic spinal cord (owl's eye appearance) on T2 weighted images. This case was diagnosed as spinal infarction caused by low blood pressure as a result of massive bleeding. The basis of diagnosis were as follows: 1) an acute onset; 2) when the ambulance arrived, she was in hypovolemic shock caused by massive hemorrhage; 3) there was no trauma on the lumber region, the spine, or the vertebrae; 4) with CT taken on admission, aortic disease was not detected; and 5) she was not on any antipsychotic drugs which could cause thrombosis. We treated the patient following management protocol of cerebral infarction, but recovery of sensory and motor disorders was minimal.
Keywords: Hypovolemic shock; Incise wound; Massive hemorrhage; Spinal cord infarction.
© 2019 The Author.
Figures



References
-
- Novy J., et al. Spinal cord ischemia. Arch. Neurol. 2006;63:1113–1120. - PubMed
-
- Toshitaka S., Kazutoshi H. Minoru Akino: spinal cord infarction due to aortic dissection. Spinal and Spinal Cord. 2008;21:1015–1020.
-
- Sugiura Makoto, Ando Tetsuo. Spinal cord infarction associated with vertebral body infarction: a report of two cases. Spinal and Spinal Cord. 2008;21(10):1008–1014.
-
- Faig J., Busse O., Salbeck R. Vertebral body infarction as a confirmatory sign of spinal cord ischemic stroke. Report of three cases and review of the literature. Stroke. 1998;29:239–243. - PubMed
-
- Kiyoharu I. Neurological signs and differential diagnosis. Spinal and Spinal Cord. 2008;21(10):982–991.
Publication types
LinkOut - more resources
Full Text Sources