Skip to main page content
U.S. flag

An official website of the United States government

Dot gov

The .gov means it’s official.
Federal government websites often end in .gov or .mil. Before sharing sensitive information, make sure you’re on a federal government site.

Https

The site is secure.
The https:// ensures that you are connecting to the official website and that any information you provide is encrypted and transmitted securely.

Access keys NCBI Homepage MyNCBI Homepage Main Content Main Navigation
. 2020 Jan;19(1):451-458.
doi: 10.3892/etm.2019.8233. Epub 2019 Nov 22.

Comparison of four different internal fixation methods in the treatment of distal clavicle fractures

Affiliations

Comparison of four different internal fixation methods in the treatment of distal clavicle fractures

Liang Li et al. Exp Ther Med. 2020 Jan.

Abstract

This study compared the clinical efficacy of four internal fixation methods in the treatment of distal clavicle fractures, in an effort to guide appropriate selection and application in the clinic. Eighty-four patients with distal clavicle-comminuted fractures were treated with a distal clavicle anatomic plate (group A), clavicular hook plate (group B), double-plate vertical fixation (group C), or T-shaped steel plate internal fixation (group D). The Constant-Murley scoring system was used to evaluate the shoulder joint function. The fracture healing time, VAS, and postoperative complications were compared and analyzed among the four groups. According to the Constant-Murley evaluation standard, the excellent and good rates of the four groups were 94.4, 73.1, 95 and 80% in groups A-D, respectively. The excellent and good rates of Constant-Murley evaluation standard in groups A and C were significantly better than those in groups B and D (P<0.05). VAS in the distal clavicle anatomic plate group (group A), double-plate vertical fixation group (group C), and T-shaped steel plate internal fixation group (group D) were significantly better than the clavicular hook plate group (group B) (P<0.05). The incidence of postoperative complications in the clavicular hook plate group (group B) was 15.4% and in the T-shaped steel plate internal fixation group (group D) was 15%, which were significantly higher than those of the distal clavicle anatomic plate group (group A) and double-plate vertical internal fixation group (group C) (P<0.05). The treatment of distal clavicle fractures using either one of the four internal fixation techniques can obtain better clinical results. The distal clavicle anatomic plate and double-plate vertical internal fixation techniques are associated with a decreased incidence of shoulder pain, an increase in the range of motion of the shoulder, and a reduction in complications, and thus, are preferable for the early functional recovery of limbs.

Keywords: bone plates; clavicle; dual plate; fracture fixation.

PubMed Disclaimer

Figures

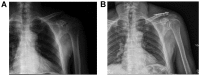
Figure 1.
Figure 1.
Male, 44 years of age, with closed fracture of right distal clavicle caused by falling injury. (A) Preoperative clavicular radiography shows Craig class II type II fracture of left distal clavicle. (B) The clavicular radiography at 3 days after operation shows that the fracture was fixed with an anatomic plate of distal clavicle.
Figure 2.
Figure 2.
Female, 39 years of age, with closed fracture of left distal clavicle caused by a traffic accident. (A) Preoperative clavicular X-rays shows Craig class II type II fracture of left distal clavicle. (B) The clavicular radiography at 3 days after operation shows that the fracture was fixed with clavicular hook plate.
Figure 3.
Figure 3.
Female, 32 years of age, with closed fracture of left distal clavicle caused by a traffic accident. (A) Preoperative clavicular radiography shows Craig class II type II fracture of left distal clavicle. (B) The clavicular radiography at 2 months after operation shows that the fracture was fixed with double mini plate.
Figure 4.
Figure 4.
Male, 32 years of age, with closed fracture of left distal clavicle caused by falling injury. (A) Preoperative clavicular radiography shows Craig class II type II fracture of left distal clavicle. (B) The clavicular radiography at 3 days after operation shows that the fracture was fixed with T-shaped steel plate.

References

    1. Gstettner C, Tauber M, Hitzl W, Resch H. Rockwood type III acromioclavicular dislocation: Surgical versus conservative treatment. J Shoulder Elbow Surg. 2008;17:220–225. doi: 10.1016/j.jse.2007.07.017. - DOI - PubMed
    1. Martetschläger F, Kraus TM, Schiele CS, Sandmann G, Siebenlist S, Braun KF, Stöckle U, Freude T, Neumaier M. Treatment for unstable distal clavicle fractures (Neer 2) with locking T-plate and additional PDS cerclage. Knee Surg Sports Traumatol Arthrosc. 2013;21:1189–1194. doi: 10.1007/s00167-012-2089-0. - DOI - PubMed
    1. Oe K, Gaul L, Hierholzer C, Woltmann A, Miwa M, Kurosaka M, Buehren V. Operative management of periarticular medial clavicle fractures-report of 10 cases. J Trauma Acute Care Surg. 2012;72:E1–E7. doi: 10.1097/TA.0b013e31820d1354. - DOI - PubMed
    1. Rieser GR, Edwards K, Gould GC, Markert RJ, Goswami T, Rubino LJ. Distal-third clavicle fracture fixation: A biomechanical evaluation of fixation. J Shoulder Elbow Surg. 2013;22:848–855. doi: 10.1016/j.jse.2012.08.022. - DOI - PubMed
    1. Deng Z, Cai L, Ping A, Ai Q, Wang Y. Anatomical research on the subacromial interval following implantation of clavicle hook plates. Int J Sports Med. 2014;35:857–862. doi: 10.1055/s-0034-1367050. - DOI - PubMed