Hybrid management approach for superior mesenteric artery and branch aneurysms
- PMID: 31909308
- PMCID: PMC6939184
- DOI: 10.1016/j.jvscit.2019.10.002
Hybrid management approach for superior mesenteric artery and branch aneurysms
Abstract
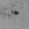
Visceral artery aneurysms are rare, with a 25% rupture risk and an associated 70% mortality. A 55-year-old woman with progressive epigastric pain was found to have multiple large superior mesenteric artery (SMA), branch, and gastroduodenal artery aneurysms along with an occluded celiac artery trunk with hepatic flow dependent on the aneurysm branch. Management included antegrade aortohepatic artery bypass with gastroduodenal artery ligation, followed by SMA stenting and aneurysm coiling. This case is novel, given the diffuse pattern and rarity of SMA and branch aneurysms. This hybrid surgical management highlights innovative strategies to minimize morbidity without compromising definitive treatment of complex visceral artery aneurysms.
Keywords: Hybrid; Superior mesenteric artery aneurysms; Visceral artery aneurysms (VAAs).
© 2019 The Authors.
Figures





References
-
- Huang Y.K., Hsieh H.C., Tsai F.C., Chang S.H., Lu M.S., Ko P.J. Visceral artery aneurysm: risk factor analysis and therapeutic opinion. Eur J Vasc Endovasc Surg. 2007;33:293–301. - PubMed
-
- Messina L.M., Shanley C.J. Visceral artery aneurysms. Surg Clin North Am. 1997;77:425–442. - PubMed
-
- Pulli R., Dorigo W., Troisi N., Pratesi G., Innocenti A.A., Pratesi C. Surgical treatment of visceral artery aneurysms: a 25-year experience. J Vasc Surg. 2008;48:334–342. - PubMed
-
- Stone W.M., Abbas M., Cherry K.J., Fowl R.J., Gloviczki P. Superior mesenteric artery aneurysms: is presence an indication for intervention? J Vasc Surg. 2002;36:234–237. - PubMed
-
- Gehlen J.M., Heeren P.A., Verhagen P.F., Peppelenbosch A.G. Visceral artery aneurysms. Vasc Endovascular Surg. 2011;45:681–687. - PubMed
Publication types
LinkOut - more resources
Full Text Sources