Whipple's endocarditis: a case report of a blood culture-negative endocarditis
- PMID: 31912002
- PMCID: PMC6939820
- DOI: 10.1093/ehjcr/ytz222
Whipple's endocarditis: a case report of a blood culture-negative endocarditis
Abstract
Background: Whipple's disease is caused by Tropheryma whipplei and causes a self-limiting gastrointestinal infection. The majority of the population is an asymptomatic carrier, however, in some patients, it causes an invasive infection with for example arthritis, endocarditis, or involvement of the eyes.
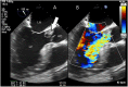
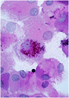
Case summary: This case describes a man with long-lasting complaints of progressive dyspnoea caused by heart failure due to total destruction of the aortic and mitral valve as a result of T. whipplei endocarditis, diagnosed with serum polymerase chain reaction. The patient was treated with ceftriaxone and prolonged co-trimoxazole therapy and surgical replacement of the aortic and mitral valve. He was discharged to a rehabilitation centre.
Discussion: Tropheryma whipplei is one of the possible microorganisms classified as causing blood culture-negative endocarditis, with predominantly afebrile patients that do not fulfil the Dukes criteria, which makes it difficult to diagnose. Polymerase chain reaction is the cornerstone of the diagnosis. It requires long-term antibiotic treatment up to 12 months. It is recommended by the European Society of Cardiology to discuss treatment in an Endocarditis Team because Whipple's endocarditis has only rarely been described in the literature previously. Whipple's endocarditis has high mortality and relapse rates.
Keywords: Blood culture-negative endocarditis; Case report; Endocarditis; Tropheryma whipplei; Whipple’s endocarditis.
© The Author(s) 2019. Published by Oxford University Press on behalf of the European Society of Cardiology.
Figures






References
-
- Fenollar F, Lepidi H, Raoult D.. Whipple's endocarditis: review of the literature and comparisons with Q fever, Bartonella infection, and blood culture-positive endocarditis. Clin Infect Dis 2001;33:1309–1316. - PubMed
-
- Lepidi H, Fenollar F, Dumler JS, Gauduchon V, Chalabreysse L, Bammert A, Bonzi M‐F, Thivolet‐Béjui F, Vandenesch F, Raoult D.. Cardiac valves in patients with Whipple endocarditis: microbiological, molecular, quantitative histologic, and immunohistochemical studies of 5 patients. J Infect Dis 2004;190:935–945. - PubMed
Publication types
LinkOut - more resources
Full Text Sources