Pathologic Complete Response of Pancreatic Cancer following Neoadjuvant FOLFIRINOX Treatment in Hepatic Metastasized Pancreatic Cancer
- PMID: 31934588
- PMCID: PMC6944898
- DOI: 10.1159/000497827
Pathologic Complete Response of Pancreatic Cancer following Neoadjuvant FOLFIRINOX Treatment in Hepatic Metastasized Pancreatic Cancer
Abstract
Introduction: Pancreatic cancer is a lethal disease and often asymptomatic. Therefore, it is most often diagnosed at an advanced stage. The standard approach in a metastasized tumor stage is palliative chemotherapy. However, the prognosis remains extremely poor.
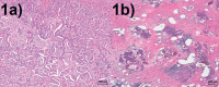
Case report: We present the case of a patient who was diagnosed with a cancer of the head of the pancreas with hepatic metastases. After receiving palliative intended chemotherapy with the FOLFIRINOX regimen, staging computed tomography revealed the disappearance of the liver metastases and local resectability of the pancreatic head tumor. The patient underwent an uneventful Whipple's procedure. Surprisingly, pathohistological investigation revealed a complete pathological response.
Conclusion: Pathological complete response after FOLFIRINOX treatment in hepatic metastasized pancreatic cancer is extremely rare. It enables surgical resection and increases the survival rate significantly.
Keywords: FOLFIRINOX; Hepatic metastases; Pancreatic cancer; Pathologic complete response; ypT0.
Copyright © 2019 by S. Karger AG, Basel.
Conflict of interest statement
The authors declare that they have no conflicts of interest. The study was not funded.
Figures



References
-
- Hidalgo M. Pancreatic cancer. N Engl J Med. 2010 Apr;362((17)):1605–17. - PubMed
-
- Siegel RL, Miller KD, Jemal A. Cancer statistics, 2016. CA Cancer J Clin. 2016 Jan-Feb;66((1)):7–30. - PubMed
-
- Wagner M, Redaelli C, Lietz M, Seiler CA, Friess H, Büchler MW. Curative resection is the single most important factor determining outcome in patients with pancreatic adenocarcinoma. Br J Surg. 2004 May;91((5)):586–94. - PubMed
-
- Bond-Smith G, Banga N, Hammond TM, Imber CJ. Pancreatic adenocarcinoma. BMJ. 2012 May;344((may16 1)):e2476. - PubMed
Publication types
LinkOut - more resources
Full Text Sources