Skip to main page content
U.S. flag

An official website of the United States government

Dot gov

The .gov means it’s official.
Federal government websites often end in .gov or .mil. Before sharing sensitive information, make sure you’re on a federal government site.

Https

The site is secure.
The https:// ensures that you are connecting to the official website and that any information you provide is encrypted and transmitted securely.

Access keys NCBI Homepage MyNCBI Homepage Main Content Main Navigation
Case Reports
. 2019 Dec 6;11(12):e6308.
doi: 10.7759/cureus.6308.

Sarcomatous Transformation of Recurrent Scapular Osteochondroma in a Patient with the Hereditary Multiple Osteochondromas: A Case Report and Literature Review

Affiliations
Case Reports

Sarcomatous Transformation of Recurrent Scapular Osteochondroma in a Patient with the Hereditary Multiple Osteochondromas: A Case Report and Literature Review

Sadia Sajid et al. Cureus. .

Abstract

Hereditary multiple osteochondromas (HMO) is an autosomal dominant disease diagnosed by the presence of two or more than two osteochondromas on radiographs. The majority of cases are asymptomatic. The presence of bony growth, pain, and compression of the surrounding structure are the usual presentations. Malignant transformation into chondrosarcoma is the most feared complication. A rapid increase in size, recurrence after the surgical excision, and infiltrating mass may suggest the conversion into chondrosarcoma. Radiological imaging helps in diagnosing malignant transformation. MRI is the investigation of choice to exclude cancer. We hereby present a case of multiple osteochondromas with suspected malignant transformation due to rapidly increasing painful osseous swelling.

Keywords: autosomal dominant; chondrosarcoma; hereditory multiple exostoses; osteochondroma; prognostic factors; role of diagnostic imaging; scapular tumor; secondary osseous malignancy; surgical excision; tumor suppressor genes.

PubMed Disclaimer

Conflict of interest statement

The authors have declared that no competing interests exist.

Figures

Figure 1
Figure 1. Patient's posterior view
Multiple scar marks of previous surgeries (arrow 2) with swelling and deformity of the right suprascapular region (arrow 1).
Figure 2
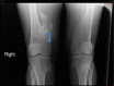
Figure 2. X-ray of both knee joints
Multiple exostoses involving bilateral distal femur, proximal tibia, and fibula, the largest is arising from the right distal femur (blue arrow).
Figure 3
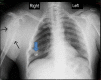
Figure 3. Chest X-ray (Posteroanterior view)
Osteochondromas are seen involving right-sided rib (blue arrow) and right humerus (black arrows).
Figure 4
Figure 4. MRI of the right shoulder
T2 weighted axial images of right shoulder showing a lobulated hyperintense mass lesion that is totally replacing the right scapula and extending into the suprascapular region and invading subcutaneous soft tissues of the right chest wall, pleura, and lungs (A and B). The mass is extending to the superior aspect of the right shoulder (C), and right axillary region (D).

References

    1. Multiple osteocartilaginous exostoses of the lower extremity: a case report. Shtofmakher G, Kaufman MA, Bhoola PH, Patel AA, Rice SM, Cohen RE. Foot. 2015;25:62–65. - PubMed
    1. Sarcomatous transformation in diaphyseal aclasis. Shah ZK, Peh WC, Wong Y, Shek TWH, Davies AM. Australas Radiol. 2007;51:110–119. - PubMed
    1. Chondrosarcoma transformation in hereditary multiple exostoses: a systematic review and clinical and cost-effectiveness of a proposed screening model. Fei L, Ngoh C, Porter DE. J Bone Oncol. 2018;13:114–122. - PMC - PubMed
    1. Whole-body MRI in assessing malignant transformation in multiple hereditary exostoses and enchondromatosis: audit results and literature review. Jurik AG, Jorgensen PH, Mortensen MM. Skeletal Radiol. 2020;49:115–124. - PubMed
    1. Intraosseous atypical chondroid tumor or chondrosarcoma grade 1 in patients with multiple osteochondromas. Goud AL, Wuyts W, Bessems J, Bramer J, van der Woude H, Ham J. J Bone Joint Surg Am. 2015;97:24–31. - PubMed

Publication types

LinkOut - more resources