Calvarial osteomyelitis in secondary syphilis: evaluation by MRI and CT, including cinematic rendering
- PMID: 31938744
- PMCID: PMC6953708
- DOI: 10.1016/j.heliyon.2019.e03090
Calvarial osteomyelitis in secondary syphilis: evaluation by MRI and CT, including cinematic rendering
Abstract
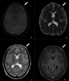
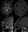
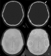
This is a case of a 22-year-old, HIV-negative, male patient with asymptomatic syphilitic osteomyelitis of the skull in the context of secondary syphilis. The diagnosis was made based on serology as well as CT and MRI scans. CT volumetric data was post-processed with cinematic rendering, which is a novel algorithm that allows for a photorealistic visualization of the lesions. Imaging and follow-up scans after treatment confirmed the diagnosis without the need to perform invasive procedures such as a biopsy.
Keywords: CT; Cinematic rendering; Infectious; Infectious disease; MRI; Medical imaging; Medical microbiology; Nervous system; Neuroscience; Osteomyelitis; Postprocessing; Radiology; Sexually transmitted diseases; Skull; Syphilis.
© 2019 Published by Elsevier Ltd.
Figures




References
-
- Reynolds F.W., Wasserman H. Destructive osseous lesions in early syphilis. Arch. Intern. Med. 1942;69:263–276.
-
- Savage E.J., Hughes G., Ison C., Lowndes C.M. The European Surveillance of Sexual C. Syphilis and gonorrhoea in men who have sex with men: a European overview. Euro Surveill. 2009;14 - PubMed
-
- Park K.-H., Lee M.S., Hong I.K., Sung J.-Y., Choi S.-H., Park S.O. Bone involvement in secondary syphilis: a case report and systematic review of the literature. Sex. Transm. Dis. 2014;41:532–537. - PubMed