Case of bilateral Mooren's ulcers following filtering surgery using EX-PRESS glaucoma filtering devices
- PMID: 31956729
- PMCID: PMC6956671
- DOI: 10.1016/j.ajoc.2020.100588
Case of bilateral Mooren's ulcers following filtering surgery using EX-PRESS glaucoma filtering devices
Abstract
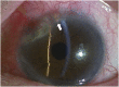
Purpose: To report our findings in a case of bilateral Mooren's ulcer that developed after filtering surgeries using the EX-PRESS glaucoma filtering device (EX-PRESS surgery).
Patients and methods: A 71-year-old Japanese man with primary open angle glaucoma underwent EX-PRESS surgery first in his left eye and 1 month later in his right eye. He developed Mooren's ulcer in his right eye at 7 months and in his left eye at 10 months after the initial EX-PRESS surgery. Systemic examinations showed no collagen vascular disease, and he did not have a history of bacterial or viral infections. He was not allergic to metallic materials. Before the EX-PRESS surgery, he had underdone cataract surgery combined with trabeculotomy in both eyes, and a reoperation of trabeculotomy in his left eye. He had not developed Mooren's ulcer after these surgeries. The Mooren's ulcer after the EX-PRESS surgery was treated with oral prednisolone (30 mg tapering) in combination with topical 0.1% betamethasone sodium. The ulcers were responsive and healed well in three months.
Conclusions: The EX-PRESS devices were most likely the cause of the Mooren's ulcers considering that they were located close to the site of EX-PRESS insertion and no peripheral corneal ulcer developed after prior intraocular surgeries.
Keywords: Autoimmune reaction; EX-PRESS glaucoma filtering device; Glaucoma implant surgery; Mooren's ulcer; Surgical injury.
© 2020 The Authors. Published by Elsevier Inc.
Conflict of interest statement
No conflict of interest exists.
Figures
References
-
- Chow C.Y.C., Foster C.S. Mooren's ulcer. Int Ophthalmol Clin. 1996;36:1–13. - PubMed
-
- Mondino B.J., Brown S.I. Peripheral corneal ulcers with herpes zoster ophthalmicus. Am J Ophthalmol. 1978;86(5):611–614. - PubMed
-
- Wilson S.E., Lee W.M., Murakami C., Weng J., Moninger G.A. Mooren-type hepatitis C virus-associated corneal ulceration. Ophthalmology. 1994;101:736–745. - PubMed
-
- Zelefsky J.R., Srinivasan M., Kundu A. Hookworm infestation as a risk factor for Mooren's ulcer in South India. Ophthalmology. 2007;114(3) - PubMed
Publication types
LinkOut - more resources
Full Text Sources
