TREATMENT OF UNICAMERAL BONE CYSTS IN CHILDREN: A COMPARATIVE STUDY
- PMID: 31969750
- PMCID: PMC6971792
- DOI: 10.20471/acc.2019.58.03.01
TREATMENT OF UNICAMERAL BONE CYSTS IN CHILDREN: A COMPARATIVE STUDY
Abstract
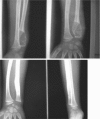
Unicameral bone cysts (UBC) are benign bone tumor-like lesions. Mostly they are located in the metaphyseal-diaphyseal region of long bones in children and adolescents. The etiology of UBC is still unclear. There is no consensus about the protocol of UBC treatment. The aim of this study was to evaluate the effectiveness of three different techniques for the treatment of UBC. This study included 129 pediatric patients with UBC treated at University Children's Hospital in Belgrade during the 8-year period. The mean follow up was 7.14 years. The following parameters were observed: gender, age, site, length of cyst, cyst index, cortical thickness, presentation of pathologic fracture, healing of cyst, treatment complications and length of hospitalization. These parameters were correlated to three treatment modalities, i.e. intracystic methylprednisolone acetate injection (group 1), curettage with bone grafting (group 2) and osteoinductive procedure using demineralized bone matrix (group 3). We found statistically significant differences in healing of the cysts and length of hospital treatment between groups 1 and 2, and between groups 2 and 3. In conclusion, complete healing of UBC can be achieved only using open surgery procedure. Intracystic methylprednisolone acetate instillation can be considered a good option for initial treatment of UBC.
Keywords: Bone cysts; Bone matrix; Bone transplantation; Child; Injections, intralesional.
Figures



References
Publication types
MeSH terms
Substances
LinkOut - more resources
Full Text Sources
Medical