Infantile atypical subependymal giant cell astrocytoma
- PMID: 31982898
- PMCID: PMC8015630
- DOI: 10.17712/nsj.2020.1.20190044
Infantile atypical subependymal giant cell astrocytoma
Abstract
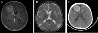
Subependymal giant cell astrocytoma is a benign WHO grade I intraventricular tumor arise in patients with tuberous sclerosis complex. Previous reported described histopathological predictors of more aggressive forms, terms atypical SEGA in infantile age group. Other reports showed possible transformation of SEGA into glioblastoma, or misdiagnosis as glioblastoma due to the presence of atypical histopathological features. Here, we report a case of an infant who presented with right frontal extraventricular SEGA and underwent craniotomy with complete resection. Eight months later, he presented with fast recurrence in same location with midline shift and subfalcine herniation. Histopathological description showed high grade features including Ki labeling index of 60%, atypical mitotic figures, cellular plemorphism and necrosis. We also discussed the possible presence of different entity (termed atypical SEGA) which may have more aggressive clinical course, with literature review of predictors of SEGA aggressiveness and possible transformation/misdiagnosis as glioblastoma.
Figures
 
              
              
              
              
                
                
                 
              
              
              
              
                
                
                 
              
              
              
              
                
                
                 
              
              
              
              
                
                
                References
- 
    - Henske EP, Jozwiak S, Kingswood JC, Sampson JR, Thiele EA. Tuberous sclerosis complex. Nature Reviews Disease Primers. 2016;2:16035. - PubMed
 
- 
    - Vignoli A, Lesma E, Alfano RM, Peron A, Scornavacca GF, Massimino M, et al. Glioblastoma multiforme in a child with tuberous sclerosis complex. Am J Med Genet A. 2015;167:2388–2393. - PubMed
 
- 
    - Chan DL, Calder T, Lawson JA, Mowat D, Kennedy SE. The natural history of subependymal giant cell astrocytomas in tuberous sclerosis complex: a review. Rev Neurosci. 2018;29:295–301. - PubMed
 
- 
    - Sharma M, Ralte A, Arora R, Santosh V, Shankar SK, Sarkar C. Subependymal giant cell astrocytoma: a clinicopathological study of 23 cases with special emphasis on proliferative markers and expression of p53 and retinoblastoma gene proteins. Pathology. 2004;36:139–144. - PubMed
 
- 
    - Telfeian AE, Judkins A, Younkin D, Pollock AN, Crino P. Subependymal giant cell astrocytoma with cranial and spinal metastases in a patient with tuberous sclerosis. Case report. J Neurosurg. 2004;100:498–500. - PubMed
 
Publication types
MeSH terms
LinkOut - more resources
- Full Text Sources
- Medical
