An Unusual Location of Osteochondroma: Dorsal Scapula
- PMID: 32025393
- PMCID: PMC6977579
- DOI: 10.7759/cureus.6464
An Unusual Location of Osteochondroma: Dorsal Scapula
Abstract
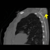
Osteochondromas commonly affect the proximal humerus, pelvis, and knee but are rarely seen on flat bones. Herein, we present the case of a 15-year-old female patient with osteochondroma located at the dorsal aspect of the scapula. The patient was admitted to the Orthopedics and Traumatology Department with the complaint of a mass on the left upper back for five years. The patient complained of the inability to sleep in the supine position, pain with shoulder motion, and cosmetic discomfort for two years. X-rays of the left shoulder revealed a bony mass arising from the dorsal aspect of the left scapula. The patient underwent an operation, and a specimen was sent for histopathologic examination. The histopathologic investigation confirmed the diagnosis of non-malignant transformation osteochondroma. While osteochondroma is not common in the scapula, it should be kept in mind that the most common benign tumor of the scapula is osteochondroma.
Keywords: dorsal; osteochondroma; scapula; unusual location.
Copyright © 2019, Bektas et al.
Conflict of interest statement
The authors have declared that no competing interests exist.
Figures





References
-
- Unni KK, Inwards CY, Dahlin DC. Philadelphia: Lippincott Williams & Wilkins; 2010. Dhalin's Bone Tumors: General Aspects and Data on 10,165 Cases.
-
- Chest wall deformity associated with osteochondroma of the scapula: a case report and review of the literature. Tomo H, Ito Y, Aono M, Takaoka K. J Shoulder Elbow Surg. 2005;14:103–106. - PubMed
-
- Snapping scapula syndrome caused by subscapular osteochondroma. Ermiş MN, Aykut US, Durakbaşa MO, Ozel MS, Bozkuş FS, Karakaş ES. https://www.ncbi.nlm.nih.gov/pubmed/22448829. Eklem Hastalik Cerrahisi. 2012;23:40–43. - PubMed
Publication types
LinkOut - more resources
Full Text Sources