Cardiovascular and Lung Involvement in Patients with Autoimmune Pancreatitis
- PMID: 32028650
- PMCID: PMC7074280
- DOI: 10.3390/jcm9020409
Cardiovascular and Lung Involvement in Patients with Autoimmune Pancreatitis
Abstract
Introduction: Immunoglobulin G4-related disease (IgG4-RD) is a systemic immune-mediated disease characterised pathologically by the infiltration of IgG4-bearing plasma cells into the involved organs. Autoimmune pancreatitis (AIP) is a form of chronic pancreatitis with a heavy lymphocytic infiltration and two distinct histopathological subtypes, namely: lymphoplasmacytic sclerosing pancreatitis (AIP type 1) and idiopathic duct-centric pancreatitis (AIP type 2). Lung involvement and aortic involvement have been reported in 12% and 9% of patients with systemic IgG4-RD, respectively. In series including patients with AIP, both lung and aortic involvement were described in 2% of the patients. Most of the epidemiological data come from Japan, and there is a lack of information from Europe, especially the Scandinavian countries.
Patients and methods: We performed a single-centre retrospective study on a prospectively collected cohort of patients diagnosed with AIP at the Department for Digestive Diseases at Karolinska University Hospital in Stockholm, Sweden, from 2004 to 2019. Demographic and clinical data were collected from the medical charts.
Results: One hundred and thirty-three patients with AIP were analysed. Six patients were excluded because they lacked some of the clinical data relevant to the study. Demographic and clinical features of 127 patients were presented. There were 98 patients with AIP type 1-35 (35.7%) female and 63 (64.3%) male, with a mean age of 55.4 ± 18.2. Among them, 15 (15.3%) patients had lung and/or cardiovascular involvement-11 (11.2%) patients had lung involvement, 10 (10.2%) patients had cardiovascular involvement (six patients had both). Most of them (67.0%) had never smoked. The mean follow-up time of the patients with AIP type 1 was 49 months.
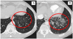
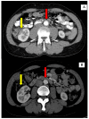
Conclusions: Lung and/or cardiovascular involvement were diagnosed in 15 (15.3%) patients in our historical cohort of patients with AIP type 1. Most of the lung involvement was presented in the form of nodular lesions in the lungs, non-specific infiltrates, "ground-glass" appearance with pleura thickening, and effusion. Aortic involvement was a major form of vascular involvement in patients with AIP, as in previous published studies on patients with IgG4-RD.
Keywords: autoimmune; cardiovascular; immunoglobulin G4; lung; pancreatitis.
Conflict of interest statement
The authors declare no conflict of interest.
Figures



References
LinkOut - more resources
Full Text Sources
Miscellaneous