Educational Case: Esophageal Carcinoma
- PMID: 32030352
- PMCID: PMC6977094
- DOI: 10.1177/2374289519897383
Educational Case: Esophageal Carcinoma
Abstract
The following fictional case is intended as a learning tool within the Pathology Competencies for Medical Education (PCME), a set of national standards for teaching pathology. These are divided into three basic competencies: Disease Mechanisms and Processes, Organ System Pathology, and Diagnostic Medicine and Therapeutic Pathology. For additional information, and a full list of learning objectives for all three competencies, see http://journals.sagepub.com/doi/10.1177/2374289517715040.1.
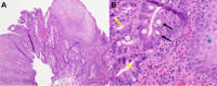
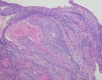
Keywords: Barrett esophagus; environmental influences; esophageal carcinoma; gastrointestinal neoplasia; gastrointestinal tract; neoplasia; organ system pathology; pathology competencies.
© The Author(s) 2020.
Conflict of interest statement
Declaration of Conflicting Interests: The author(s) declared no potential conflicts of interest with respect to the research, authorship, and/or publication of this article.
Figures




References
-
- Kumar V, Abbas AK, Aster JC. Robbins and Cotran Pathologic Basis of Disease. 9th ed Philadelphia, PA: Elsevier/Saunders; 2015.
LinkOut - more resources
Full Text Sources