Mycotic abdominal aortic aneurysm complicated by infective spondylitis due to P seudomonas aeruginosa
- PMID: 32051162
- PMCID: PMC7035837
- DOI: 10.1136/bcr-2019-233461
Mycotic abdominal aortic aneurysm complicated by infective spondylitis due to P seudomonas aeruginosa
Abstract
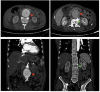
A 67-year-old man with diabetes and hypertension presented with complaints of abdominal pain and lower back ache for 7 months, with intermittent episodes of fever. On examination, there was an expansile mass in the upper abdomen with bruit on auscultation. He also had tenderness in the L1-L2 vertebral space with paraspinal fullness, causing painful restriction of lower limb motor functions but without affecting sensation. On evaluation, he was found to have an abdominal aortic aneurysm with infective lumbar spondylodiscitis. The aspirate from the paravertebral infected tissue and cultures from blood grew Pseudomonas aeruginosa, a rare causative agent of mycotic aortic aneurysm. Whether the infective spondylitis spread to the abdominal aorta causing the mycotic aneurysm or vice versa is a dilemma in such a case. However, the mainstay of treatment remains adequate source control and repair of the aneurysm with appropriate antibiotic therapy. Our patient received intravenous antibiotics for P . aeruginosa based on sensitivity, following which he underwent debridement of the infective spondylodiscitis with aneurysmorrhaphy. He had an uneventful recovery and was well at 3-month follow-up.
Keywords: bone and joint infections; infections; orthopaedics; vascular surgery.
© BMJ Publishing Group Limited 2020. No commercial re-use. See rights and permissions. Published by BMJ.
Conflict of interest statement
Competing interests: None declared.
Figures



References
-
- Stengel A, Wolferth CC. Mycotic (bacterial) aneurysms of intravascular origin. Arch Intern Med 1923;31:527–54. 10.1001/archinte.1923.00110160074005 - DOI
Publication types
MeSH terms
Substances
LinkOut - more resources
Full Text Sources