Case 279
- PMID: 32069186
- PMCID: PMC7053214
- DOI: 10.1148/radiol.2019181548
Case 279
Abstract
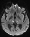
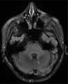
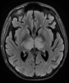
HistoryA 25-year-old woman with recently diagnosed systemic lupus erythematosus and class IV lupus nephritis confirmed with biopsy and treated with mycophenolate mofetil presented with a 2-day history of progressively worsening edema of her face and lower extremities. She had no antecedent infection or vaccination. She was admitted to the hospital and treated with methylprednisolone, furosemide, and C1 esterase inhibitor. On hospital day 2, she experienced a witnessed generalized tonic-clonic seizure. At that time, she became hypoxic and was intubated for airway protection. Her laboratory study results preceding the seizure were remarkable for hyponatremia, with a blood sodium level of 122 mEq/L (122 mmol/L) (normal range, 135-145 mEq/L [134-145 mmol/L]), which was corrected to 137 mEq/L (137 mmol/L) over 48 hours. Same-day cerebrospinal fluid analysis was unremarkable, and unenhanced head CT findings (not shown) were normal, with no evidence of intracranial hemorrhage or edema.
Figures
