Acute rupture of a sinus of Valsalva aneurysm into the right atrium: a case report and a narrative review
- PMID: 32070284
- PMCID: PMC7027063
- DOI: 10.1186/s12872-020-01383-7
Acute rupture of a sinus of Valsalva aneurysm into the right atrium: a case report and a narrative review
Abstract
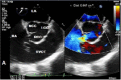
Background: Sinus of Valsalva aneurysm (SVA) is a rare cardiac anomaly which has potential for spontaneous rupture into other cardiac chambers or the pericardial space (depending on its location). A ruptured SVA has a very poor prognosis with high morbidity and mortality. The development of a shunt between the sinus of Valsalva and right-sided cardiac chambers results in a continuous murmur on examination. Our case report is a case of SVA rupture into the right atrium.
Case presentation: In this case report, we describe a 23-year-old patient with an acute onset of chest pain, shortness of breath, palpitations and dizziness starting 2 days prior to presentation to the emergency department. The patient was initially treated for presumed pulmonary embolism overnight while awaiting CTPA the next morning. However, further examination by the inpatient medical team demonstrated a continuous machinery cardiac murmur. Subsequent echocardiography demonstrated an acutely ruptured SVA with shunting to the right atrium. Emergency surgical repair resulted in an excellent outcome for the patient.
Conclusion: A thorough clinical history and physical examination is the cornerstone of all medical encounters. An SVA could be asymptomatic until acute rupture. Echocardiography is the preferred initial diagnostic tool. Additional imaging techniques can be used to confirm the diagnosis. In cases of rupture, prognosis is poor and surgical repair is always required.
Keywords: Aneurysm; Aortic aneurysm; Congenital heart disease; Sinus of Valsalva.
Conflict of interest statement
To the best of our knowledge, the named authors have no conflict of interest, financial or otherwise.
Figures
References
Publication types
MeSH terms
LinkOut - more resources
Full Text Sources
Medical
