Chest CT Findings in Coronavirus Disease-19 (COVID-19): Relationship to Duration of Infection
- PMID: 32077789
- PMCID: PMC7233369
- DOI: 10.1148/radiol.2020200463
Chest CT Findings in Coronavirus Disease-19 (COVID-19): Relationship to Duration of Infection
Abstract
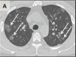
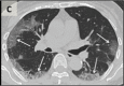
In this retrospective study, chest CTs of 121 symptomatic patients infected with coronavirus disease-19 (COVID-19) from four centers in China from January 18, 2020 to February 2, 2020 were reviewed for common CT findings in relationship to the time between symptom onset and the initial CT scan (i.e. early, 0-2 days (36 patients), intermediate 3-5 days (33 patients), late 6-12 days (25 patients)). The hallmarks of COVID-19 infection on imaging were bilateral and peripheral ground-glass and consolidative pulmonary opacities. Notably, 20/36 (56%) of early patients had a normal CT. With a longer time after the onset of symptoms, CT findings were more frequent, including consolidation, bilateral and peripheral disease, greater total lung involvement, linear opacities, "crazy-paving" pattern and the "reverse halo" sign. Bilateral lung involvement was observed in 10/36 early patients (28%), 25/33 intermediate patients (76%), and 22/25 late patients (88%).
Figures








Comment in
-
An update on CT chest findings in coronavirus disease-19 (COVID-19).Heart Lung. 2020 Sep-Oct;49(5):442-443. doi: 10.1016/j.hrtlng.2020.03.007. Epub 2020 Mar 20. Heart Lung. 2020. PMID: 32204949 Free PMC article. No abstract available.
-
Why, when, and how to use lung ultrasound during the COVID-19 pandemic: enthusiasm and caution.Eur Heart J Cardiovasc Imaging. 2020 Sep 1;21(9):941-948. doi: 10.1093/ehjci/jeaa163. Eur Heart J Cardiovasc Imaging. 2020. PMID: 32515793 Free PMC article. No abstract available.
-
Multidetector computed tomography chest findings of coronavirus disease 2019 pneumonia in patient with hepatocellular carcinoma.Eur J Gastroenterol Hepatol. 2020 Sep;32(9):1265-1266. doi: 10.1097/MEG.0000000000001823. Eur J Gastroenterol Hepatol. 2020. PMID: 32658011 No abstract available.
References
MeSH terms
LinkOut - more resources
Full Text Sources
Other Literature Sources
Medical
Research Materials