Standardized cardiovascular magnetic resonance imaging (CMR) protocols: 2020 update
- PMID: 32089132
- PMCID: PMC7038611
- DOI: 10.1186/s12968-020-00607-1
Standardized cardiovascular magnetic resonance imaging (CMR) protocols: 2020 update
Abstract
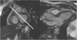
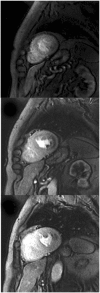
This document is an update to the 2013 publication of the Society for Cardiovascular Magnetic Resonance (SCMR) Board of Trustees Task Force on Standardized Protocols. Concurrent with this publication, 3 additional task forces will publish documents that should be referred to in conjunction with the present document. The first is a document on the Clinical Indications for CMR, an update of the 2004 document. The second task force will be updating the document on Reporting published by that SCMR Task Force in 2010. The 3rd task force will be updating the 2013 document on Post-Processing. All protocols relative to congenital heart disease are covered in a separate document.The section on general principles and techniques has been expanded as more of the techniques common to CMR have been standardized. A section on imaging in patients with devices has been added as this is increasingly seen in day-to-day clinical practice. The authors hope that this document continues to standardize and simplify the patient-based approach to clinical CMR. It will be updated at regular intervals as the field of CMR advances.
Conflict of interest statement
The authors declare that they have no competing interests.
Figures







References
Publication types
MeSH terms
LinkOut - more resources
Full Text Sources
Other Literature Sources
Medical