Esophageal Carcinoma Cuniculatum Diagnosed on Mucosal Biopsies Using a Semiquantitative Histologic Schema: Report of Two Esophagectomy-Confirmed Cases
- PMID: 32095173
- PMCID: PMC7011911
- DOI: 10.14740/gr1262
Esophageal Carcinoma Cuniculatum Diagnosed on Mucosal Biopsies Using a Semiquantitative Histologic Schema: Report of Two Esophagectomy-Confirmed Cases
Abstract
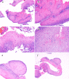
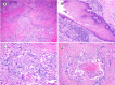
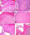
Esophageal carcinoma cuniculatum is a rare variant of squamous cell carcinoma characterized by a unique and common histologic pattern including hyperkeratosis, acanthosis, dyskeratosis, deep keratinization, intraepithelial neutrophils, neutrophilic microabscess, focal cytologic atypia, koilocyte-like cells, and keratin-filled cyst/burrows observed in the resection specimens. Preoperative diagnosis can be extremely difficult. A semiquantitative histologic scoring system has been previously proposed for mucosal biopsies, which has been associated with improved diagnostic yield. However, this histologic schema for the diagnosis of carcinoma cuniculatum has not been applied prospectively. Herein, we describe two cases of esophageal carcinoma cuniculatum in patients presenting with progressive dysphagia and esophageal mass. Presurgical endoscopic mucosal biopsies showed features consistent with carcinoma cuniculatum, and a preoperative diagnosis was achieved by applying the aforementioned semiquantitative histologic schema. Both patients underwent neoadjuvant chemoradiation followed by esophagectomy. Both esophagectomy specimens showed residual adventitia-invading carcinoma cuniculatum, negative lymph nodes, marked tumor regression, and an exuberant histiocytic and giant response. To our best knowledge, these represent the first two cases of esophageal carcinoma cuniculatum diagnosed by applying this semiquantitative histologic schema to mucosal biopsies. Large studies are needed to further confirm these preliminary findings and validate this histologic scoring system.
Keywords: Carcinoma cuniculatum; Esophagus; Mucosal biopsy; Squamous cell carcinoma.
Copyright 2020, Liu et al.
Conflict of interest statement
None to declare for all authors.
Figures





References
Publication types
LinkOut - more resources
Full Text Sources