Ultrasonography of the liver in healthy and diseased camels (Camelus dromedaries)
- PMID: 32101826
- PMCID: PMC7192722
- DOI: 10.1292/jvms.19-0690
Ultrasonography of the liver in healthy and diseased camels (Camelus dromedaries)
Abstract
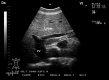
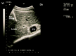
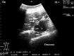
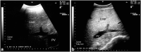
In camels, hepatic diseases are relatively common and most of them are misdiagnosed as a cause of illness because signs may be subtle. In addition, diagnostic laboratory methods are insufficient as hepatic enzymes can also be elevated in camels with cardiac or skeletal muscle damage. Examples of liver diseases in camels are hepatic lipidosis, hepatitis, cirrhosis, hepatic necrosis, choleostasis, hyperplasia of biliary epithelium, hydatid cysts, glycogen deposition, cholangitis, cholangiohepatitis, calcified hydatid cyst and hepatic abscesses. When the liver is examined by ultrasonography, the clinician gets sufficient information about the size, position, echopatterns of the hepatic parenchyma, bile ducts and outlines of the hepatic blood vessels. Ultrasonography has been used previously in camels only for reproductive purposes. However, during the past decade, it has been used for scanning of the healthy organs as well as evaluation and determining the diagnosis and prognosis of non-reproductive disorders. Examples of diseases evaluated by ultrasonography in camels are paratuberculosis, trypanosomiasis, abdominal and urinary disorders, thoracic diseases, renal tumors, pyelonephritis, renal abscessation, gastrointestinal tumors, chronic peritonitis and splenic abscessation. Ultrasound-guidance in biopsy of hepatic lesions and in portocentesis has also been reported in camels. This mini review article is written to shed light on ultrasonography of the liver and its blood vessels in healthy camels as well as finding in camels with hepatic disorders such as fatty infiltration of the liver, hepatic abscesses and calcification of the bile ducts.
Keywords: camel; dromedary; imaging; liver; ultrasonography.
Conflict of interest statement
The author declares no conflict of interest related to this review article.
Figures

















References
-
- Acorda J. A., Yamada H., Ghamsari S. M.1994. Ultrasonographic features of diffuse hepatocellular disorders in dairy cattle. Vet. Radiol. Ultrasound 35: 196–200. doi: 10.1111/j.1740-8261.1994.tb01592.x - DOI
-
- Al-Ani F. K.2004. The urinary system. pp. 263–267. In: Camel Management and Diseases (Al-Ani, F. K. ed.), Al-Sharq printing press, Amman.
Publication types
MeSH terms
LinkOut - more resources
Full Text Sources
Medical
Miscellaneous