Skip to main page content
U.S. flag

An official website of the United States government

Dot gov

The .gov means it’s official.
Federal government websites often end in .gov or .mil. Before sharing sensitive information, make sure you’re on a federal government site.

Https

The site is secure.
The https:// ensures that you are connecting to the official website and that any information you provide is encrypted and transmitted securely.

Access keys NCBI Homepage MyNCBI Homepage Main Content Main Navigation
. 2020 Mar-Apr;34(2):943-951.
doi: 10.21873/invivo.11862.

Association of SNPs in CDKN2A (P14ARF) Tumour Suppressor Gene With Endometrial Cancer in Postmenopausal Women

Affiliations

Association of SNPs in CDKN2A (P14ARF) Tumour Suppressor Gene With Endometrial Cancer in Postmenopausal Women

Wioletta Wujcicka et al. In Vivo. 2020 Mar-Apr.

Abstract

Background/aim: This research was aimed to evaluate the association between three selected single nucleotide polymorphisms (SNPs) within the CDKN2A (P14ARF) tumour suppressor gene and the incidence of endometrial cancer (EC) in postmenopausal women.

Patients and methods: The study included 194 postmenopausal women; 144 with EC and 50 non-cancer controls. Genotypes in P14ARF rs3088440, rs3731217 and rs3731245 polymorphisms were assayed using PCR-RFLP and confirmed by sequencing.

Results: Regarding the rs3088440 polymorphism, CT, and CT-TT genotypes, were more prevalent among EC patients than in controls (OR=5.55, p=0.023, OR=5.29, p=0.027; and OR=2.92, p=0.023, respectively). The T allele within rs3088440 was more prevalent in EC females than in controls (χ2=4.7, p=0.030). Considering rs3731217, TG and TG-GG genotypes were less prevalent among EC (OR=0.34, p=0.024 or p=0.023; and OR=0.38, p=0.035, respectively).

Conclusion: Polymorphisms in the CDKN2A gene are associated with EC in postmenopausal women.

Keywords: CDKN2A; P14ARF; endometrial cancer; single nucleotide polymorphisms (SNPs); tumour suppressor gene.

PubMed Disclaimer

Conflict of interest statement

The Authors have no conflicts of interest to disclose regarding this study.

Figures

Figure 1
Figure 1. The structure of CDKN2A tumour suppressor gene and its alternatively spliced variants, P14ARF and P16. The location of three single nucleotide polymorphisms (SNPs), selected for the current research, is illustrated in the P14ARF gene. The alternative splicing sites are depicted with dotted red and green lines for p14ARF and p16 transcripts, respectively. UTR: the untranslated region.
Figure 2
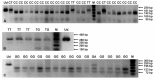
Figure 2. Nested PCR-RFLP products for P14ARF rs3088440 (A), rs3731217 (B) and rs3731245 (C) polymorphisms. The products, digested with HaeIII (A and C) or MvaI (B) endonucleases, were resolved in 2% agarose gels and stained with ethidium bromide. The numbers on the right side of the pictures correspond to the lentghs of separated DNA fragments. M: 50 bp DNA marker; Ud: undigested PCR product; CC, CT, GA, GG, TG, or TT: genotypes within the analyzed SNPs.
Figure 3
Figure 3. Chromatograms with DNA fragments, containing P14ARF rs3088440 (A-C), and rs3731217 (D, E) polymorphisms. DNA forward strands were studied for rs3088440 SNP and the reverse strands – for rs3731217 polymorphism. CC, CT, TG, or TT: genotypes in the presented SNPs.

References

    1. Endometrial Neoplasms (C54) Available at: http://onkologia.org.pl/nowotwory-trzonu-macicy-kobiet-c54/ [Last accessed 16/01/2020]
    1. El-Mokadem I, Kidd T, Pratt N, Fleming S, Nabi G. Tumour suppressor gene (CDKNA2) status on chromosome 9p in resected renal tissue improves prognosis of localised kidney cancer. Oncotarget. 2016;7(45):73045–73054. doi: 10.18632/oncotarget.12196. - DOI - PMC - PubMed
    1. Inoue K, Fry EA. Aberrant expression of p14(ARF) in human cancers: A new biomarker. Tumor Microenviron. 2018;1(2):37–44. doi: 10.15761/CRR.1000145. - DOI - PMC - PubMed
    1. Ko A, Han SY, Song J. Regulatory network of ARF in cancer development. Mol Cells. 2018;41(5):381–389. doi: 10.14348/molcells.2018.0100. - DOI - PMC - PubMed
    1. Watanabe J, Nishizaki R, Jobo T, Kamata Y, Hata H, Nishimura Y, Fujisawa T, Okayasu I, Kuramoto H. Expression of tumor suppressor gene product p14ARF in endometrioid adenocarcinoma of the uterine corpus. Int J Gynecol Pathol. 2004;23(3):234–240. doi: 10.1097/01.pgp.0000130050.27266.9a. - DOI - PubMed

Substances

LinkOut - more resources