Acute Aortocaval Fistula Secondary to Chronic Type 1 B Abdominal Aortic Aneurysm Endoleak
- PMID: 32132817
- PMCID: PMC7054059
- DOI: 10.1055/s-0038-1669455
Acute Aortocaval Fistula Secondary to Chronic Type 1 B Abdominal Aortic Aneurysm Endoleak
Abstract
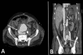
Aortocaval fistula (ACF) is a rare complication of abdominal aortic aneurysms (AAA), involving less than 1% of all AAA and is associated with high morbidity and mortality; it is even more uncommon, following endovascular aneurysm repair. The clinical presentation can be variable and making the diagnosis can be difficult. It can present with symptoms and signs of an abdominal emergency or systemic hypoperfusion. The traditional method of repair has been open surgery, which is associated with a high mortality rate. Endovascular repair has become more common, but results are difficult to interpret due to the low incidence of ACF. A high index of suspicion is imperative to avoid delay in diagnosis and care.
Keywords: abdominal aortic aneurysm complication; aortocaval fistula; endoleak.
© Thieme Medical Publishers.
Conflict of interest statement
Conflict in Interest None.
Figures
References
-
- Brightwell R E, Pegna V, Boyne N.Aortocaval fistula: current management strategies ANZ J Surg 201383(1,2):31–35. - PubMed
-
- Kotsikoris I, Papas T T, Papanas N et al. Aortocaval fistula formation due to ruptured abdominal aortic aneurysms: a 12-year series. Vasc Endovascular Surg. 2012;46(01):26–29. - PubMed
-
- Akwei S, Altaf N, Tennant W, MacSweeney S, Braithwaite B. Emergency endovascular repair of aortocaval fistula--a single center experience. Vasc Endovascular Surg. 2011;45(05):442–446. - PubMed
-
- Brewster D C, Cambria R P, Moncure A Cet al. Aortocaval and iliac arteriovenous fistulas: recognition and treatment J Vasc Surg 19911302253–264., discussion 264–265 - PubMed
-
- Calligaro K D, Savarese R P, DeLaurentis D A. Unusual aspects of aortovenous fistulas associated with ruptured abdominal aortic aneurysms. J Vasc Surg. 1990;12(05):586–590. - PubMed
