Protein Kinase C subtype δ interacts with Venezuelan equine encephalitis virus capsid protein and regulates viral RNA binding through modulation of capsid phosphorylation
- PMID: 32150585
- PMCID: PMC7082041
- DOI: 10.1371/journal.ppat.1008282
Protein Kinase C subtype δ interacts with Venezuelan equine encephalitis virus capsid protein and regulates viral RNA binding through modulation of capsid phosphorylation
Abstract
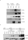
Protein phosphorylation plays an important role during the life cycle of many viruses. Venezuelan equine encephalitis virus (VEEV) capsid protein has recently been shown to be phosphorylated at four residues. Here those studies are extended to determine the kinase responsible for phosphorylation and the importance of capsid phosphorylation during the viral life cycle. Phosphorylation site prediction software suggests that Protein Kinase C (PKC) is responsible for phosphorylation of VEEV capsid. VEEV capsid co-immunoprecipitated with PKCδ, but not other PKC isoforms and siRNA knockdown of PKCδ caused a decrease in viral replication. Furthermore, knockdown of PKCδ by siRNA decreased capsid phosphorylation. A virus with capsid phosphorylation sites mutated to alanine (VEEV CPD) displayed a lower genomic copy to pfu ratio than the parental virus; suggesting more efficient viral assembly and more infectious particles being released. RNA:capsid binding was significantly increased in the mutant virus, confirming these results. Finally, VEEV CPD is attenuated in a mouse model of infection, with mice showing increased survival and decreased clinical signs as compared to mice infected with the parental virus. Collectively our data support a model in which PKCδ mediated capsid phosphorylation regulates viral RNA binding and assembly, significantly impacting viral pathogenesis.
Conflict of interest statement
The authors have declared that no competing interests exist.
Figures
References
-
- Gardner CL, Burke CW, Tesfay MZ, Glass PJ, Klimstra WB, et al. (2008) Eastern and Venezuelan equine encephalitis viruses differ in their ability to infect dendritic cells and macrophages: impact of altered cell tropism on pathogenesis. J Virol 82: 10634–10646. 10.1128/JVI.01323-08 - DOI - PMC - PubMed
Publication types
MeSH terms
Substances
LinkOut - more resources
Full Text Sources
Other Literature Sources
Molecular Biology Databases
