Adult-onset Still's disease revealed by a complete atrioventricular block, totally regressive under corticosteroid therapy
- PMID: 32153686
- PMCID: PMC7054654
- DOI: 10.1016/j.jccase.2019.11.004
Adult-onset Still's disease revealed by a complete atrioventricular block, totally regressive under corticosteroid therapy
Abstract
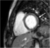
We report the case of a 40-year-old veterinary surgeon who was admitted for spiking fevers, arthralgia, and a complete atrioventricular block. Tests revealed an inflammatory syndrome, hepatic cytolysis, neutrophilic leukocytosis, and increased troponin levels. Cardiac magnetic resonance imaging showed a small myocarditis but no tissue abnormality on the conduction pathways. In the absence of evidence-based infection and favorable evolution under broad spectrum antibiotherapy, an adult-onset Still's disease was suspected and corticosteroid therapy administered. Evolution was then impressively favorable, with a persistent sinus heart rhythm 3 days later. Learning objective: Febrile conductive disorders occurring during a systemic disorder with negative infection and auto-immunity work-up should lead to consider an adult-onset Still's disease, which can be treated and cured, especially with steroids. Moreover, fever, polyarthritis, neutrophilic leukocytosis, pericarditis, and myocarditis should lead to consideration of adult-onset Still's disease.
Keywords: Adult-onset Still’s disease; Atrioventricular block; Myocarditis; Spiking fever; Steroid.
© 2019 Japanese College of Cardiology. Published by Elsevier Ltd. All rights reserved.
Figures




References
-
- Tsuchiya H., Tsuno H., Kaneko S., Yamashita H., Takahashi Y., Kano T. Complete atrioventricular block and aseptic meningitis in a patient with adult-onset Still's disease and concurrent hemophagocytic syndrome. Mod Rheumatol. 2015;25:332–333. - PubMed
-
- Colina M., Govoni M., Trotta F. Fatal myocarditis in adult-onset Still disease with diffuse intravascular coagulation. Rheumatol Int. 2009;29:1355–1357. - PubMed
-
- Kuek A., Weerakoon A., Ahmed K., Ostör A.J.K. Adult-onset Still’s disease and myocarditis: successful treatment with intravenous immunoglobulin and maintenance of remission with etanercept. Rheumatology (Oxford) 2007;46:1043–1044. - PubMed
Publication types
LinkOut - more resources
Full Text Sources