Malignant cylindroma of the scalp treated with staged perimeter excision: A case report and literature review
- PMID: 32158878
- PMCID: PMC7061669
- DOI: 10.1016/j.jpra.2019.04.003
Malignant cylindroma of the scalp treated with staged perimeter excision: A case report and literature review
Erratum in
-
Erratum regarding previously published articles.JPRAS Open. 2021 Sep 24;30:176-177. doi: 10.1016/j.jpra.2021.09.008. eCollection 2021 Dec. JPRAS Open. 2021. PMID: 34901368 Free PMC article.
Abstract
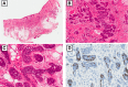
Malignant cylindroma is a rare and poorly understood cutaneous malignancy. There is a paucity of literature on these lesions, with only a select number of case reports and limited guidelines on management. We present a case of a 60-year old patient with a malignant cylindroma of the scalp treated surgically with staged perimeter excision and summarize our review of the literature with a focus on management of this potentially aggressive disease.
Keywords: Cylindrocarcinoma; Malignant cylindroma; Perimeter excision; Skin adnexal tumours.
© 2019 The Authors.
Figures
References
-
- Tosun Z., Hosnuter M., Senturk S., Avunduk M.C., Savaci N. Cylindroma of the foot. Ann Plast Surg. 2002;48:220–221. - PubMed
-
- Jordao C., de Magalhaes T.C., Cuzzi T., Ramos-e-Silva M. Cylindroma: an update. Int J Dermatol. 2015;54:275–278. - PubMed
-
- Bowen S. Mutations in the CYLD gene in Brooke–Spiegler Syndrome, Familial Cylindromatosis, and Multiple Familial Trichoepithelioma: Lack of Genotype–Phenotype Correlation. J Invest Dermatol. 2005;124:919–920. - PubMed
-
- Caputo V., Rongioletti F. Rare malignant skin tumors. Springer; New York, NY: 2015. Malignant cylindroma; pp. 85–87.
Publication types
LinkOut - more resources
Full Text Sources
