Skip to main page content
U.S. flag

An official website of the United States government

Dot gov

The .gov means it’s official.
Federal government websites often end in .gov or .mil. Before sharing sensitive information, make sure you’re on a federal government site.

Https

The site is secure.
The https:// ensures that you are connecting to the official website and that any information you provide is encrypted and transmitted securely.

Access keys NCBI Homepage MyNCBI Homepage Main Content Main Navigation
Case Reports
. 2020 May-Jun;46(3):477-480.
doi: 10.1590/S1677-5538.IBJU.2019.0522.

Bladder pseudo-tumor: case report of vesical tamm-horsfall protein deposit

Affiliations
Case Reports

Bladder pseudo-tumor: case report of vesical tamm-horsfall protein deposit

Marcelo Langer Wroclawski et al. Int Braz J Urol. 2020 May-Jun.
No abstract available

PubMed Disclaimer

Conflict of interest statement

None declared.

Figures

Figure 1
Figure 1. A: US with an area of focal thickening in the bladder floor (arrow); B: The focal thickening in the bladder floor is close to the ureteral meatus (arrow show the ureteric jet in US doppler); C: Nodular lesion in the bladder floor, close to the focal thickening (arrow).
Figure 2
Figure 2. (cystoscopy) – A) right peri-meatal region, which is evidencing ulcerated lesion (thick arrow) and lesions elevated with intact mucosa (narrow arrow); B) Image focused on elevated lesions (thick arrow); C) image focused on ulcerated lesion.
Figure 3
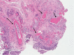
Figure 3. Hematoxylin and Eosin (H&E) stain - Bladder biopsy: deposits of eosinofilic material in the lamina propria (arrows).
Figure 4
Figure 4. Periodic Acid Schif (PAS) stain: eosinofilic material deposits strongly positive by the PAS stain.

References

    1. Wong MCS, Fung FDH, Leung C, Cheung WWL, Goggins WB, Ng CF. The global epidemiology of bladder cancer: a joinpoint regression analysis of its incidence and mortality trends and projection. Sci Rep. 2018;8:1129–1129. - PMC - PubMed
    2. 1. Wong MCS, Fung FDH, Leung C, Cheung WWL, Goggins WB, Ng CF. The global epidemiology of bladder cancer: a joinpoint regression analysis of its incidence and mortality trends and projection. Sci Rep. 2018;8:1129. - PMC - PubMed
    1. Lee CH, Tan CH, Faria SC, Kundra V. Role of Imaging in the Local Staging of Urothelial Carcinoma of the Bladder. AJR Am J Roentgenol. 2017;208:1193–1205. - PubMed
    2. 2. Lee CH, Tan CH, Faria SC, Kundra V. Role of Imaging in the Local Staging of Urothelial Carcinoma of the Bladder. AJR Am J Roentgenol. 2017;208:1193-205. - PubMed
    1. Sakatani T, Adachi Y, Sakaida N, Atsuta T, Magaribuchi T, Taki Y, et al. Nephrogenic adenoma in elderly patients: Three case reports. Mol Clin Oncol. 2016;5:253–256. - PMC - PubMed
    2. 3. Sakatani T, Adachi Y, Sakaida N, Atsuta T, Magaribuchi T, Taki Y, et al. Nephrogenic adenoma in elderly patients: Three case reports. Mol Clin Oncol. 2016;5:253-6. - PMC - PubMed
    1. Veiga RS, Cassis J, Oliveira P, Lopez-Beltran A. Inverted Papilloma of the Bladder Coexisting with Urothelial Carcinoma. A Case Report. Anal Quant Cytopathol Histpathol. 2016;38:52–56. - PubMed
    2. 4. Veiga RS, Cassis J, Oliveira P, Lopez-Beltran A. Inverted Papilloma of the Bladder Coexisting with Urothelial Carcinoma. A Case Report. Anal Quant Cytopathol Histpathol. 2016;38:52-6. - PubMed
    1. Almouhissen T, Badr H, Alessa N, Nassir A. Bladder leiomyoma in male patient presenting with renal oncocytoma: Are the two conditions related? Urol Ann. 2016;8:397–399. - PMC - PubMed
    2. 5. Almouhissen T, Badr H, Alessa N, Nassir A. Bladder leiomyoma in male patient presenting with renal oncocytoma: Are the two conditions related? Urol Ann. 2016;8:397-9. - PMC - PubMed