Clinical and CT imaging features of the COVID-19 pneumonia: Focus on pregnant women and children
- PMID: 32171865
- PMCID: PMC7156118
- DOI: 10.1016/j.jinf.2020.03.007
Clinical and CT imaging features of the COVID-19 pneumonia: Focus on pregnant women and children
Abstract
Background: The ongoing outbreak of COVID-19 pneumonia is globally concerning. We aimed to investigate the clinical and CT features in the pregnant women and children with this disease, which have not been well reported.
Methods: Clinical and CT data of 59 patients with COVID-19 from January 27 to February 14, 2020 were retrospectively reviewed, including 14 laboratory-confirmed non-pregnant adults, 16 laboratory-confirmed and 25 clinically-diagnosed pregnant women, and 4 laboratory-confirmed children. The clinical and CT features were analyzed and compared.
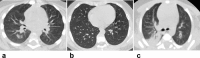
Findings: Compared with the non-pregnant adults group (n = 14), initial normal body temperature (9 [56%] and 16 [64%]), leukocytosis (8 [50%] and 9 [36%]) and elevated neutrophil ratio (14 [88%] and 20 [80%]), and lymphopenia (9 [56%] and 16 [64%]) were more common in the laboratory-confirmed (n = 16) and clinically-diagnosed (n = 25) pregnant groups. Totally 614 lesions were detected with predominantly peripheral and bilateral distributions in 54 (98%) and 37 (67%) patients, respectively. Pure ground-glass opacity (GGO) was the predominant presence in 94/131 (72%) lesions for the non-pregnant adults. Mixed consolidation and complete consolidation were more common in the laboratory-confirmed (70/161 [43%]) and clinically-diagnosed (153/322 [48%]) pregnant groups than 37/131 (28%) in the non-pregnant adults (P = 0·007, P < 0·001). GGO with reticulation was less common in 9/161 (6%) and 16/322 (5%) lesions for the two pregnant groups than 24/131 (18%) for the non-pregnant adults (P = 0·001, P < 0·001). The pulmonary involvement in children with COVID-19 was mild with a focal GGO or consolidation. Twenty-three patients underwent follow-up CT, revealing progression in 9/13 (69%) at 3 days whereas improvement in 8/10 (80%) at 6-9 days after initial CT scans.
Interpretation: Atypical clinical findings of pregnant women with COVID-19 could increase the difficulty in initial identification. Consolidation was more common in the pregnant groups. The clinically-diagnosed cases were vulnerable to more pulmonary involvement. CT was the modality of choice for early detection, severity assessment, and timely therapeutic effects evaluation for the cases with epidemic and clinical features of COVID-19 with or without laboratory confirmation. The exposure history and clinical symptoms were more helpful for screening in children versus chest CT.
Keywords: COVID-19 pneumonia; CT; Children; Pregnancy.
Copyright © 2020. Published by Elsevier Ltd.
Figures




Comment in
-
Unfavorable outcomes in pregnant patients with COVID-19.J Infect. 2020 Aug;81(2):e99-e101. doi: 10.1016/j.jinf.2020.05.014. Epub 2020 May 15. J Infect. 2020. PMID: 32417313 Free PMC article. No abstract available.
References
-
- The International Committee on Taxonomy of Viruses (ICTV) Coronaviridae Study Group. Naming the 2019 Coronavirus. https://talk.ictvonline.org/.