Nightmare of repeated low-energy periprosthetic femoral fracture in a patient with severe osteoporosis - A lesson learned
- PMID: 32181317
- PMCID: PMC7062940
- DOI: 10.1016/j.tcr.2020.100287
Nightmare of repeated low-energy periprosthetic femoral fracture in a patient with severe osteoporosis - A lesson learned
Erratum in
-
Erratum regarding missing Declaration of Competing Interest statements in previously published articles.Trauma Case Rep. 2023 Feb 17;45:100796. doi: 10.1016/j.tcr.2023.100796. eCollection 2023 Jun. Trauma Case Rep. 2023. PMID: 37234578 Free PMC article.
-
Erratum regarding missing patient consent statement in previously published articles.Trauma Case Rep. 2023 Mar 1;45:100807. doi: 10.1016/j.tcr.2023.100807. eCollection 2023 Jun. Trauma Case Rep. 2023. PMID: 37234580 Free PMC article.
Abstract
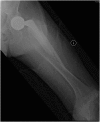
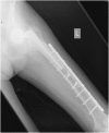
We report an 85-year-old patient with severe osteoporosis who had suffered from multiple episodes of periprosthetic fracture of the femur. Revision fixation with long-spanning cable plate for bisphosphonate-induced atypical periprosthetic femoral fracture was performed. Nonunion and implant failure occurred at 16 months requiring revision surgery using long-stem femoral prosthesis with cable-plate fixation. To further facilitate bone healing, allograft and bone morphogenetic protein (BMP) were added. Eventually bone union was achieved after one year.
Keywords: Alendronate; Arthroplasty; Case report; Fracture; Hip; Non-union; Periprosthetic fractures; Stress.
© 2020 The Author(s).
Figures
























References
-
- Berry D.J. Epidemiology: hip and knee. Orthop. Clin. N. Am. 1999;30(2):183–190. - PubMed
-
- Berry D.J. Periprosthetic fractures associated with osteolysis: a problem on the rise. J. Arthroplast. 2003;18(3 suppl 1):107–111. - PubMed
-
- Lewallen D.G., Berry D.J. Periprosthetic fracture of the femur after total hip arthroplasty. Treatment and results to date. J. Bone Joint Surg. Am. 1997;79(12):1881–1890.
-
- Lewallen D.G., Berry D.J. Periprosthetic fracture of the femur after total hip arthroplasty: treatment and results to date. Instr. Course Lect. 1998;47:243–249. - PubMed
-
- Duncan C.P., Masri B.A. Fractures of the femur after hip replacement. Instr. Course Lect. 1995;44:293–304. - PubMed
Publication types
LinkOut - more resources
Full Text Sources