Computed Tomography Manifestations of 5 Cases of the Novel Coronavirus Disease 2019 (COVID-19) Pneumonia From Patients Outside Wuhan
- PMID: 32195887
- PMCID: PMC7253046
- DOI: 10.1097/RTI.0000000000000508
Computed Tomography Manifestations of 5 Cases of the Novel Coronavirus Disease 2019 (COVID-19) Pneumonia From Patients Outside Wuhan
Abstract
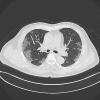
Clinical, laboratory, and computed tomography (CT) findings of 5 cases of the novel Coronavirus Disease 2019 (COVID-19) pneumonia from patients outside of Wuhan were reviewed. The human-to-human transmission of the virus may explain the infection of the disease outside of Wuhan. CT examination is important in the early detection and follow-up of the disease. With a history of exposure or travelling, symptoms of fever and cough, and the typical CT manifestation such as ground-glass opacity with a peripheral distribution, we should also think of the possibility of the COVID-19 pneumonia in patients outside of Wuhan.
Conflict of interest statement
The authors declare no conflicts of interest.
Figures





References
-
- “Naming the 2019 Coronavirus”. International committee on taxonomy of viruses. 2020. Available at: https://talk.ictvonline.org/. Accessed February 11, 2020.
-
- Gorbalenya AE, Baker SC, Baric RS, et al. Severe acute respiratory syndrome-related coronavirus: the species and its viruses—a statement of the Coronavirus Study Group. bioRxiv preprint. 2020. Available at: 10.1101/2020.02.07.937862. - DOI
-
- World Health Organization. “Novel virus (2019-nCov).” 2020. Available at: www.who.int/emergencies/diseases/novel-Coronavirus-2019. Accessed January 7, 2020.
-
- World Health Organization. WHO Director-General’s remarks at the media briefing on 2019-nCoV on 11 February 2020. 2020. Available at: www.who.int/dg/speeches/detail/who-director-general-s-remarks-at-the-med.... Accessed February 11, 2020.
-
- Guan W, Ni ZY, Hu Y, et al. Clinical characteristics of 2019 novel coronavirus infection in China. medRxiv preprint. N Engl J Med. Doi: 10.1056/NEJMoa2002032.