Skip to main page content
U.S. flag

An official website of the United States government

Dot gov

The .gov means it’s official.
Federal government websites often end in .gov or .mil. Before sharing sensitive information, make sure you’re on a federal government site.

Https

The site is secure.
The https:// ensures that you are connecting to the official website and that any information you provide is encrypted and transmitted securely.

Access keys NCBI Homepage MyNCBI Homepage Main Content Main Navigation
. 2020 Feb 7;7(3):001435.
doi: 10.12890/2020_001435. eCollection 2020.

Sweet's Syndrome Induced by Aromatase Inhibitor in the Treatment of Early Breast Cancer

Affiliations

Sweet's Syndrome Induced by Aromatase Inhibitor in the Treatment of Early Breast Cancer

Debora Cardoso et al. Eur J Case Rep Intern Med. .

Abstract

Background: Breast cancer is the most commonly diagnosed cancer in women, mainly at an early stage, allowing treatment with curative intent. Aromatase inhibitors are widely used in the adjuvant treatment of oestrogen receptor-positive breast cancer, mainly in postmenopausal women. The most frequent adverse events associated with these therapies are musculoskeletal symptoms and an increased risk of bone fractures. Cutaneous adverse events have been rarely described. Sweet's syndrome can present as an idiopathic disorder in addition to being malignancy-associated or drug-induced.

Case presentation: We report the case of a 69-year old woman, diagnosed with early stage breast cancer, who underwent breast-conserving surgery, followed by adjuvant radio and endocrine treatment with letrozole 2.5 mg daily, for a foreseeable duration of 5 years. Three months after starting letrozole, she presented with sudden fever and exuberant and painful erythematous skin papules and plaques on her upper body. After a full work-up and exclusion of other potential causes, a skin biopsy confirmed the presence of dermal oedema and a diffuse neutrophilic infiltrate, suggesting Sweet's syndrome. After discontinuation of letrozole and treatment with corticosteroids, the patient fully recovered. She resumed adjuvant treatment with tamoxifen, without symptom recurrence.

Conclusions: Sweet's syndrome is a rare condition and an association with aromatase inhibitors has not been previously reported. Although its occurrence has already been observed in the onset of malignancies such as breast cancer, aromatase inhibitors must be added to the list of potential causes of drug-induced Sweet's syndrome.

Learning points: Aromatase inhibitors are widely used in the treatment of breast cancer and, though infrequent, it is important to recognize possible cutaneous adverse events.Sweet's syndrome is a rare but troublesome condition. Prompt recognition and management are crucial to alleviate symptoms.Drug-induced Sweet's syndrome associated with aromatase inhibitors has not been previously reported and should be considered when evaluating treatment toxicities.

Keywords: Aromatase inhibitors; Sweet’s syndrome; breast cancer; cutaneous adverse events.

PubMed Disclaimer

Conflict of interest statement

Conflicts of Interests: The Authors declare that there are no competing interests.

Figures

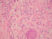
Figure 1
Figure 1
Haematoxylin and eosin staining with identification of oedema of the dermis and inflammatory infiltrate at 100×
Figure 2
Figure 2
Haematoxylin and eosin staining for identification of inflammatory infiltrate of the dermis, rich in polymorphonuclear neutrophils, 400×

References

    1. Forouzanfar MH, Foreman KJ, Delossantos AM, Lozano R, Lopez AD, Murray CJL, et al. Breast and cervical cancer in 187 countries between 1980 and 2010: a systematic analysis. Lancet. 2011;378:1461–1484. - PubMed
    1. Berry DA, Cronin KA, Plevritis SK, Fryback DG, Clarke L, Zelen M, et al. Effect of screening and adjuvant therapy on mortality from breast cancer. N Engl J Med. 2005;353:1784–1792. - PubMed
    1. Early Breast Cancer Trialists’ Collaborative Group (EBCTCG) Effects of chemotherapy and hormonal therapy for early breast cancer on recurrence and 15-year survival: an overview of the randomised trials. Lancet. 2005;365:1687–1717. - PubMed
    1. BIG 1–98 Collaborative Group. Mouridsen H, Giobbie-Hurder A, Goldhirsch A, Thürlimann B, Paridaens R, et al. Letrozole therapy alone or in sequence with tamoxifen in women with breast cancer. N Engl J Med. 2009;361:766–776. - PMC - PubMed
    1. Moscetti L, Agnese Fabbri M, Sperduti I, Fabrizio N, Frittelli P, Massari A, et al. Adjuvant aromatase inhibitor therapy in early breast cancer: what factors lead patients to discontinue treatment? Tumori. 2015;101(5):469–473. - PubMed

LinkOut - more resources