[99mTc]-labelled interleukin-8 as a diagnostic tool compared to [18F]FDG and CT in an experimental porcine osteomyelitis model
- PMID: 32211217
- PMCID: PMC7076304
[99mTc]-labelled interleukin-8 as a diagnostic tool compared to [18F]FDG and CT in an experimental porcine osteomyelitis model
Abstract
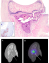
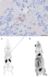
Osteomyelitis (OM) is an important cause of morbidity and sometimes mortality in children and adults. Long-term complications can be reduced when treatment is initiated in an early phase. The diagnostic gold standard is microbial examination of a biopsy and current non-invasive imaging methods are not always optimal. [111In]-leukocyte scintigraphy is recommended for peripheral OM, but is time-consuming and not recommended in children. [18F]FDG PET/CT is recommended for vertebral OM in adults, but has the disadvantage of false positive findings and a relatively high radiation exposure; the latter is a problem in children. [99mTc]-based tracers are consequently preferred in children. We, therefore, aimed to find a [99mTc]-marked tracer with high specificity and sensitivity for early detection of OM. Suppurating inflammatory lesions like OM caused by Staphylococcus aureus (S. aureus) will attract large numbers of neutrophils and macrophages. A preliminary study has shown that [99m Tc]-labelled IL8 may be a possible candidate for imaging of peripheral OM. We investigated [99mTc]IL8 scintigraphy in a juvenile pig model of peripheral OM and compared it with [18F]FDG PET/CT. The pigs were experimentally inoculated with S. aureus to induce OM and scanned one week later. We also examined leukocyte count, serum CRP and IL8, as well as performed histopathological and microbiological investigations. [ 99m Tc]IL8 was easily and relatively quickly prepared and was shown to be suitable for visualization of OM lesions in peripheral bones detecting 70% compared to a 100% sensitivity of [18F]FDG PET/CT. [ 99m Tc]IL8 is a promising candidate for detection of OM in peripheral bones in children.
Keywords: Animal model; CT; PET; SPECT/CT; [18F]FDG; [99mTc]IL8; osteomyelitis; pig; porcine; scintigraphy; staphylococcus aureus; swine.
AJNMMI Copyright © 2020.
Conflict of interest statement
None.
Figures





References
-
- Nickerson EK, Hongsuwan M, Limmathurotsakul D, Wuthiekanun V, Shah KR, Srisomang P, Mahavanakul W, Wacharaprechasgul T, Fowler VG, West TE, Teerawatanasuk N, Becher H, White NJ, Chierakul W, Day NP, Peacock SJ. Staphylococcus aureus bacteremia in a tropical setting: patient outcome and impact of antibiotic resistance. PLoS One. 2009;4:e4308. - PMC - PubMed
-
- Pääkkönen M, Kallio PE, Kallio MJ, Peltola H. Management of osteoarticular infections caused by staphylococcus aureus is similar to that of other etiologies. Pediatr Infect Dis J. 2012;31:436–438. - PubMed
-
- Hatzenbuehler J, Pulling TJ. Diagnosis and management of osteomyelitis. Am Fam Physician. 2011;84:1027–1033. - PubMed
-
- Johansen LK, Jensen HE. Animal models of hematogenous staphylococcus aureus osteomyelitis in long bones: a review. Orthop Res Rev. 2013;5:51–64.
LinkOut - more resources
Full Text Sources
Research Materials
Miscellaneous