Pediatrician performed point-of-care ultrasound for the detection of ingested foreign bodies: case series and review of the literature
- PMID: 32212088
- PMCID: PMC7925727
- DOI: 10.1007/s40477-020-00452-z
Pediatrician performed point-of-care ultrasound for the detection of ingested foreign bodies: case series and review of the literature
Abstract
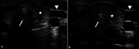
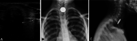
Purpose: Foreign body (FB) ingestions represent a common problem in children. History and physical examination are commonly not enough to diagnose a foreign body ingestion; therefore, conventional radiography is routinely used to detect them. Point-of-care ultrasound is widely used in the emergency department for several diagnostic applications but there are few articles describing the possibility to use point-of-care ultrasound to detect ingested foreign bodies, and the necessary training to get competent in this application. The main objective of this paper is to illustrate the use of point-of-care ultrasound (POCUS) to detect ingested foreign bodies. The secondary objective is to describe a limited training, necessary for emergency pediatricians, to obtain this skill.
Methods: This is a case series of eight pediatric patients who presented to the pediatric Emergency Department (ED), with suspected ingestion of FB, and were assessed with POCUS. Physician sonographers were two pediatricians and three residents in pediatrics working in two Italian Pediatric EDs. All sonographers participated in a 2-day POCUS workshop which included the most common pediatric POCUS applications.
Results: POCUS, performed by emergency pediatricians who participated to a limited training, allowed to always identify the foreign bodies ingested.
Conclusions: We demonstrate that an appropriate and limited training allows pediatric emergency physicians to correctly identify foreign body in the esophagus or stomach. Point-of-care ultrasound in foreign body ingestion in the Emergency Department may allow to prioritize the escalation of care in children and it can contribute to reduce the time to endoscopic management when needed.
Keywords: Coin ingested; Emergency department; Foreign body; Point-of-care ultrasound.
Conflict of interest statement
The authors declare that they have no competing interests.
Figures
References
MeSH terms
LinkOut - more resources
Full Text Sources
Medical
