A Rare Colonic Metastasis Case from Hepatocellular Carcinoma
- PMID: 32215096
- PMCID: PMC7084010
- DOI: 10.3889/oamjms.2019.837
A Rare Colonic Metastasis Case from Hepatocellular Carcinoma
Abstract
Background: Hepatocellularcarcinoma (HCC) metastasis include intrahepatic and extrahepatic metastasis. Similar to intrahepatic metastasis, extrahepatic metastases are not unusual in cases with HCC. However, colonic metastasis is infrequent.
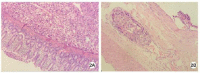
Case report: We describe a clinical case, he was diagnosed with HCC a year ago, treated with TACE (transarterialchemoembolisation), re-examined with abdominal pain and defecation disorder. The tests such as CT scan, colorectal endoscopy, fine needle aspiration (FNA) revealed secondary metastatic lesion of HCC in sigmoid colon. This is the first gastrointestinal (GI) tract metastatic we have encountered.
Conclusion: HCC metastases of the colon are rare, especially cases of hematogenous spread. The prognosis of these patients is often very critical. Indications for surgical removal of the lesion may be used if the general situation of patient is acceptable.
Keywords: GI metastasis; Hepatocelluar carcinoma; Sigmoid metastasis.
Copyright: © 2019 Binh Van Pham, Huynh Huu Phan, Lam Le Ngo, Hang Thi Thuy Nguyen, Ky Van Le, Thien Chu Dinh, Nguyen Duy Bac.
Figures



References
-
- Bray F, et al. Global cancer statistics 2018:GLOBOCAN estimates of incidence and mortality worldwide for 36 cancers in 185 countries. CA Cancer J Clin. 2018;68(6):394–424. https://doi.org/10.3322/caac.21492 PMid:30207593. - PubMed
-
- Llovet JM, Burroughs A, Bruix J. Hepatocellular carcinoma. Lancet. 2003;362:1907–1917. https://doi.org/10.1016/S0140-6736(03)14964-1. - PubMed
-
- Hashim D, Boffetta PP, La Vecchia C, et al. The global decrease in cancer mortality:trends and disparities. Ann Oncol. 2016;27:926–33. https://doi.org/10.1093/annonc/mdw027 PMid:26802157. - PubMed
-
- Seigel RL, Miller KD, Jemal A. Cancer statistics. CA Cancer J Clin. 2016;66:7–30. https://doi.org/10.3322/caac.21332 PMid:26742998. - PubMed
-
- Makariva-Rusher OV, Altekruse SF, McNeel TS. Population - attributable fractions of risk factors for hepatocellular carcinoma in the United States. Cancer. 2016;122:1757–65. https://doi.org/10.1002/cncr.29971 PMid:26998818 PMCid:PMC5548177. - PMC - PubMed
LinkOut - more resources
Full Text Sources
Miscellaneous