Regenerative hepatic pseudotumor: a new pseudotumor of the liver
- PMID: 32222461
- PMCID: PMC9469469
- DOI: 10.1016/j.humpath.2020.03.010
Regenerative hepatic pseudotumor: a new pseudotumor of the liver
Abstract
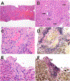
Cases of new pseudotumors of the liver were collected from multiple medical centers. Four resection and 4 biopsy specimens were collected, including 4 women and 4 men at an average age of 48 ± 15 years (range: 28-73 years). The lesions were visible on imaging but were either ill-defined or had indeterminate features for characterization. They ranged in size from 2 to 9 cm and were multiple in five cases. The resection specimens showed lesions that had vague borders but were visible in juxtaposition to the normal liver on gross examination. Histologically, the lesions also had ill-defined borders and were composed of benign reactive liver parenchyma. Central vein thrombi were seen in 5 cases, and portal vein thrombi, in 2 cases. These vascular changes were associated reactive parenchymal changes including sinusoidal dilation, patchy bile ductular proliferation, and portal vein abnormalities. All lesions lacked the histological findings of hepatic adenomas, focal nodular hyperplasia, or other known tumors and pseudotumors of the liver. In summary, this study provides a detailed description of a new pseudotumor of the liver: a reactive, hyperplastic mass-like lesion that forms in association with localized vascular thrombi, for which we propose the term regenerative hepatic pseudotumor. This lesion can closely mimic other benign or malignant hepatic tumors on imaging and histology.
Keywords: Hepatic; Hyperplasia; Liver; Pseudotumor; Regeneration; Thrombus.
Copyright © 2020. Published by Elsevier Inc.
Conflict of interest statement
Conflicts of interest
None
Figures





References
-
- Torbenson MS. Atlas of liver pathology : a pattern-based approach. Wolters Kluwer: Philadelphia, 2020. xii, 475 pages pp.
-
- Torbenson MS. Biopsy interpretation of the liver. Wolters Kluwer Health: Philadelphia, 2015. vii, 534 pages pp.
-
- Singhi AD, Maklouf HR, Mehrotra AK, et al. Segmental atrophy of the liver: a distinctive pseudotumor of the liver with variable histologic appearances. Am J Surg Pathol 2011;35:364–71. - PubMed
-
- Locke JE, Choti MA, Torbenson MS, Horton KM, Molmenti EP. Inflammatory pseudotumor of the liver. J Hepatobiliary Pancreat Surg 2005;12:314–6. - PubMed
Publication types
MeSH terms
Grants and funding
LinkOut - more resources
Full Text Sources
Medical