Serotonin Syndrome Presenting as a Posterior Reversible Encephalopathy Syndrome
- PMID: 32231545
- PMCID: PMC7098365
- DOI: 10.1159/000505907
Serotonin Syndrome Presenting as a Posterior Reversible Encephalopathy Syndrome
Abstract
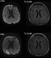
Posterior reversible encephalopathy syndrome (PRES) is a neurological syndrome characterized by an altered level of consciousness, headaches, seizure, and visual changes. PRES has several different etiologies, including malignant hypertension, eclampsia, and certain medications. Here, we describe a 41-year-old woman who presented with altered mental status. She had a preliminary diagnosis of serotonin syndrome as she was on many different serotonin-sparing agents, but her imaging findings were consistent with PRES. After her medications were reviewed and the causative agent was removed, the patient's neurological exam and imaging findings improved, and she returned to her baseline. To our knowledge, this is a unique case of PRES caused by serotonin syndrome secondary to venlafaxine usage.
Keywords: Adverse reactions; Cerebral vasoconstriction; Posterior reversible encephalopathy syndrome; Serotonin syndrome; Venlafaxine.
Copyright © 2020 by S. Karger AG, Basel.
Conflict of interest statement
The authors have no conflicts of interest to declare.
Figures


References
-
- Fugate JE, Rabinstein AA. Posterior reversible encephalopathy syndrome: clinical and radiological manifestations, pathophysiology, and outstanding questions. Lancet Neurol. 2015 Sep;14((9)):914–25. - PubMed
-
- Schwartz RB, Jones KM, Kalina P, Bajakian RL, Mantello MT, Garada B, et al. Hypertensive encephalopathy: findings on CT, MR imaging, and SPECT imaging in 14 cases. AJR Am J Roentgenol. 1992 Aug;159((2)):379–83. - PubMed
-
- Hinchey J, Chaves C, Appignani B, Breen J, Pao L, Wang A, Pessin M, Lamy C, Mas J, Caplan L. A reversible posterior leukoencephalopathy syndrome. 1996 - PubMed
-
- Raps EC, Galetta SL, Broderick M, Atlas SW. Delayed peripartum vasculopathy: cerebral eclampsia revisited. Ann Neurol. 1993 Feb;33((2)):222–5. - PubMed
-
- Boyer EW, Shannon M. The serotonin syndrome. N Engl J Med. 2005 Mar;352((11)):1112–20. - PubMed
Publication types
LinkOut - more resources
Full Text Sources