Deep learning assessment of breast terminal duct lobular unit involution: Towards automated prediction of breast cancer risk
- PMID: 32294107
- PMCID: PMC7159218
- DOI: 10.1371/journal.pone.0231653
Deep learning assessment of breast terminal duct lobular unit involution: Towards automated prediction of breast cancer risk
Abstract
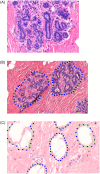
Terminal duct lobular unit (TDLU) involution is the regression of milk-producing structures in the breast. Women with less TDLU involution are more likely to develop breast cancer. A major bottleneck in studying TDLU involution in large cohort studies is the need for labor-intensive manual assessment of TDLUs. We developed a computational pathology solution to automatically capture TDLU involution measures. Whole slide images (WSIs) of benign breast biopsies were obtained from the Nurses' Health Study. A set of 92 WSIs was annotated for acini, TDLUs and adipose tissue to train deep convolutional neural network (CNN) models for detection of acini, and segmentation of TDLUs and adipose tissue. These networks were integrated into a single computational method to capture TDLU involution measures including number of TDLUs per tissue area, median TDLU span and median number of acini per TDLU. We validated our method on 40 additional WSIs by comparing with manually acquired measures. Our CNN models detected acini with an F1 score of 0.73±0.07, and segmented TDLUs and adipose tissue with Dice scores of 0.84±0.13 and 0.87±0.04, respectively. The inter-observer ICC scores for manual assessments on 40 WSIs of number of TDLUs per tissue area, median TDLU span, and median acini count per TDLU were 0.71, 0.81 and 0.73, respectively. Intra-observer reliability was evaluated on 10/40 WSIs with ICC scores of >0.8. Inter-observer ICC scores between automated results and the mean of the two observers were: 0.80 for number of TDLUs per tissue area, 0.57 for median TDLU span, and 0.80 for median acini count per TDLU. TDLU involution measures evaluated by manual and automated assessment were inversely associated with age and menopausal status. We developed a computational pathology method to measure TDLU involution. This technology eliminates the labor-intensiveness and subjectivity of manual TDLU assessment, and can be applied to future breast cancer risk studies.
Conflict of interest statement
The authors declare no competing interests. Philips Research Europe is a commercial affiliation but this does not alter our adherence to PLOS ONE policies on sharing data and materials.
Figures
References
-
- Wellings SR, Jensen HM, Marcum RG. An atlas of subgross pathology of the human breast with special reference to possible precancerous lesions. J Natl Cancer Inst. 1975;55(2):231–73. - PubMed
-
- Russo J, Romero AL, Russo IH. Architectural pattern of the normal and cancerous breast under the influence of parity. Cancer Epidemiol Biomarkers Prev. 1994;3:219–24. - PubMed
-
- Russo J, Hu YF, Yang X, Russo IH. Chapter 1: Developmental, cellular, and molecular basis of human breast cancer. J Natl Cancer Inst Monographs. 2000;27:17–37. - PubMed
Publication types
MeSH terms
Grants and funding
LinkOut - more resources
Full Text Sources
Medical
