Pericardial Effusion as an Initial Presentation of Panhypopituitarism
- PMID: 32309255
- PMCID: PMC7162561
- DOI: 10.12890/2020_001478
Pericardial Effusion as an Initial Presentation of Panhypopituitarism
Abstract
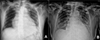
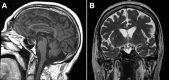
Pericardial effusion has a broad spectrum of clinical presentation, ranging from an incidental finding on imaging to a potentially fatal emergency such as pericardial tamponade, the most severe presentation. The authors present a case of a middle-aged male hospitalized due to shortness of breath. Initial work-up was positive for massive pericardial effusion with haemodynamic compromise. Additional study revealed panhypopituitarism. The acromegalic phenotype was suggestive of acromegaly secondary to pituitary adenoma, which had probably evolved to apoplexy. Hormone replacement was started with clinical improvement. At the 3-year follow-up, there was no evidence of recurrence of pericardial effusion. Panhypopituitarism is a relatively rare entity, but can lead to life-threatening complications such as adrenal crisis, coma and myxoedema-associated cardiac failure. Pericardial effusion is an extremely rare manifestation of secondary hypothyroidism.
Learning points: To recognize the clinical presentation of cardiac tamponade.To recognize atypical causes of pericardial effusion, such as severe panhypopituitarism.Hormonal replacement is efficient in treating panhypopituitarism.
Keywords: Pericardial effusion; panhypopituitarism; pericardiocentesis.
© EFIM 2020.
Conflict of interest statement
Conflicts of Interests: The Authors declare that there are no competing interests.
Figures




References
-
- Vakamudi S, Ho N, Cremer PC. Pericardial effusions: causes, diagnosis, and management. ProgCardiovasc Dis. 2017;59(4):380–388. - PubMed
-
- Hoit BD. Pericardial effusion and cardiac tamponade in the new millennium. CurrCardiol Rep. 2017;19(7):57. - PubMed
-
- Jain N, Dutta P, Dutta A, Sharma R, Bhansali A. Panhypopituitarism: a rare cause of cardiac tamponade. QJM. 2018;111(10):731–732. - PubMed
LinkOut - more resources
Full Text Sources