Skip to main page content
U.S. flag

An official website of the United States government

Dot gov

The .gov means it’s official.
Federal government websites often end in .gov or .mil. Before sharing sensitive information, make sure you’re on a federal government site.

Https

The site is secure.
The https:// ensures that you are connecting to the official website and that any information you provide is encrypted and transmitted securely.

Access keys NCBI Homepage MyNCBI Homepage Main Content Main Navigation
Case Reports
. 2020 Apr 22;12(4):e7782.
doi: 10.7759/cureus.7782.

Corona Virus Disease 2019 (COVID-19) Presenting as Acute ST Elevation Myocardial Infarction

Affiliations
Case Reports

Corona Virus Disease 2019 (COVID-19) Presenting as Acute ST Elevation Myocardial Infarction

Suman Siddamreddy et al. Cureus. .

Abstract

Patients with Covid-19 disease commonly present with symptoms related to respiratory illness, and less commonly they develop cardiovascular complications either on presentation or during the course of the disease. The mortality/morbidity is high in these patients with cardiovascular involvement. Acute ST-elevation myocardial infarction (STEMI) is a medical emergency which needs immediate coronary re-perfusion for better patient outcomes. Here we present a patient who presented to the emergency room with acute STEMI and later tested positive for COVID-19. She was successfully treated with coronary revascularization and stent placement, and remains on the ventilator to date as she quickly developed acute respiratory distress syndrome. We need more research in Covid-19 patients with cardiovascular involvement for early diagnosis, prevention of exposure to health care workers and effective treatment.

Keywords: acute respiratory distress syndrome; atypical covid; covid-19; stemi.

PubMed Disclaimer

Conflict of interest statement

The authors have declared that no competing interests exist.

Figures

Figure 1
Figure 1. Electrocardiogram (EKG) showing ST elevation changes (Red arrow) in leads II, III and aVF. Reciprocal changes- ST depressions in leads V1, V2, V3 (Blue arrow)
Figure 2
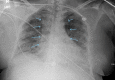
Figure 2. Chest X-ray suggestive of bilateral pulmonary edema, more on the right compared to left (arrows pointing)
Figure 3
Figure 3. Electrocardiogram (EKG) showing resolution of ST elevation and reciprocal ST depression changes after the heart catheterization and stent placement
Figure 4
Figure 4. Chest X-ray showing bilateral ground glass opacities with worsening aeration suggestive of acute respiratory distress syndrome (ARDS) (arrows pointing)

References

    1. What we know so far: COVID-19 current clinical knowledge and research. Lake MA. Clin Med (Lond) 2020;20:124–127. - PMC - PubMed
    1. Coronavirus disease 2019 (COVID-19): Situation report - 77. [Apr;2020 ];https://www.who.int/docs/default-source/coronaviruse/situation-reports/2... disease. 2020
    1. Cardiovascular disease and COVID-19. Bansal M. Diabetes Metab Syndr. 2020;14:247–250. - PMC - PubMed
    1. Coronaviruses and the cardiovascular system: acute and long-term implications. Xiong TY, Redwood S, Prendergast B, Chen M. https://www.acc.org/latest-in-cardiology/ten-points-to-remember/2020/03/... Eur Heart J. 2020;[Published online ahead of print] - PMC - PubMed
    1. Prevalence and impact of cardiovascular metabolic diseases on COVID-19 in China. Li B, Yang J, Zhao F, et al. Clin Res Cardiol. 2020;[Published online ahead of print] - PMC - PubMed

Publication types

LinkOut - more resources