Early histologic findings of pulmonary SARS-CoV-2 infection detected in a surgical specimen
- PMID: 32356025
- PMCID: PMC7192563
- DOI: 10.1007/s00428-020-02829-1
Early histologic findings of pulmonary SARS-CoV-2 infection detected in a surgical specimen
Abstract
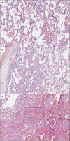
Despite the current pandemic season, reports on pathologic features of coronavirus disease 19 (Covid-19) are exceedingly rare at the present time. Here we describe the pathologic features of early lung involvement by Covid-19 in a surgical sample resected for carcinoma from a patient who developed SARS-CoV-2 infection soon after surgery. The main histologic findings observed were pneumocyte damage, alveolar hemorrhages with clustering of macrophages, prominent and diffuse neutrophilic margination within septal vessels, and interstitial inflammatory infiltrates, mainly represented by CD8+ T lymphocytes. These features are similar to those previously described in SARS-CoV-1 infection. Subtle histologic changes suggestive pulmonary involvement by Covid-19 may be accidentally encountered in routine pathology practice, especially when extensive sampling is performed for histology. These findings should be carefully interpreted in light of the clinical context of the patient and could prompt a pharyngeal swab PCR test to rule out the possibility of SARS-CoV-2 infection in asymptomatic patients.
Keywords: Covid-19; Lung histology; Pathology; SARS-CoV-2.
Conflict of interest statement
The authors declare that they have no conflict of interest.
Figures



References
-
- Huang C, Wang Y, Li X, Ren L, Zhao J, Hu Y, Zhang L, Fan G, Xu J, Gu X, Cheng Z, Yu T, Xia J, Wei Y, Wu W, Xie X, Yin W, Li H, Liu M, Xiao Y, Gao H, Guo L, Xie J, Wang G, Jiang R, Gao Z, Jin Q, Wang J, Cao B. Clinical features of patients infected with 2019 novel coronavirus in Wuhan, China. Lancet. 2020;395(10223):497–506. doi: 10.1016/S0140-6736(20)30183-5. - DOI - PMC - PubMed
Publication types
MeSH terms
LinkOut - more resources
Full Text Sources
Medical
Research Materials
Miscellaneous