Co-Infection with SARS-COV-2 and Parainfluenza in a young adult patient with pneumonia: Case Report
- PMID: 32368493
- PMCID: PMC7186517
- DOI: 10.1016/j.idcr.2020.e00762
Co-Infection with SARS-COV-2 and Parainfluenza in a young adult patient with pneumonia: Case Report
Abstract
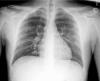
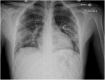
Coronavirus 2 (SARS-CoV-2) is now considered a pandemic causing Coronavirus disease (COVID-19), multiple fatalities and morbidities which have been associated with it worldwide. We report a severe pneumonia causing acute respiratory distress syndrome due to a coinfection with SARS-COV-2 and Parainfluenza 4 virus in a Hispanic 21 year old male in Florida, USA. The case represents the importance of prompt diagnosis and awareness of the potential co-infection with other respiratory viruses and this novel deadly virus.
Keywords: COVID-19; Coinfection; Parainfluenza virus; Pneumonia; SARS-COV-2.
© 2020 The Author(s).
Conflict of interest statement
All authors have no financial disclosure or conflicts of interest. We acknowledge that the manuscript has not been previously published nor it is being
Figures




References
-
- World Health Organization . 2020. Director-General’s remarks at the media briefing on 2019-nCoV on 11 February.https://www.who.int/dg/speeches/detail/who-director-general-s-remarks-at... Available at:
Publication types
LinkOut - more resources
Full Text Sources
Miscellaneous