Skip to main page content
U.S. flag

An official website of the United States government

Dot gov

The .gov means it’s official.
Federal government websites often end in .gov or .mil. Before sharing sensitive information, make sure you’re on a federal government site.

Https

The site is secure.
The https:// ensures that you are connecting to the official website and that any information you provide is encrypted and transmitted securely.

Access keys NCBI Homepage MyNCBI Homepage Main Content Main Navigation
. 2020 Mar 17;17(1):e20190031.
doi: 10.21451/1984-3143-AR2019-0031.

The gynecological examination in Pantaneiro mares

Affiliations

The gynecological examination in Pantaneiro mares

Bruno Milan et al. Anim Reprod. .

Abstract

Gynecological examination is essential to assess the reproductive tract of mares and can provide important information about the uterine environment. It includes physical, vaginal, and rectal examination, ultrasound, cytology, culture, and endometrial biopsy. The present study aimed to perform gynecological examination and fertility to assess the fertility prognosis of Pantaneiro mares that have not been reproductively active and to determine their reproductive ability. Eight mares underwent ultrasound and gynecological examination and artificial insemination. Ultrasound revealed changes only in one mare. Histopathological findings were mild, such as periglandular and perivascular inflammatory cell infiltrates, fibrotic areas, glandular dilation, glandular island formation, and edema due to the phase of the estrous cycle. One animal was classified in category I and the others in category IIA. Cytological changes were found in only one mare. Endometrial culture from five mares resulted in isolation of Pseudomonas sp., Bacillus sp., Escherichia coli and Candida sp. Only four mares resulted pregnant through artificial insemination, using the same stallion with fresh semen, which has been proving fertility. Thus, mares with better uterine conditions will not always become pregnant and those with mild changes will not always be barren.

Keywords: gynecological examination; pantaneiro horse; uterine biopsy.

PubMed Disclaimer

Conflict of interest statement

Conflict of interest: The authors have no conflict of interest to declare.

Figures

Figure 1
Figure 1. Pantaneiro mares used in the study.
Figure 2
Figure 2. Specimen collected using forceps for specifically conducting uterine biopsy in mares; the fragment is 2-cm long and 1-cm wide.
Figure 3
Figure 3. Gynecological examination in Pantaneiro mares. Endometrial cytology (mare 8) shows intense neutrophil infiltration and occasional macrophages. Panoptic staining, 40×.
Figure 4
Figure 4. Gynecological examination in Pantaneiro mares. Endometrial biopsy in mare 7 shows lymphocyte infiltration around the gland. Hematoxylin-eosin staining, 40×.
Figure 5
Figure 5. Gynecological examination in Pantaneiro mares. Endometrial biopsy in mare 4 shows moderate proliferation of the fibrous conjunctive tissue, the formation of a glandular island, and glandular dilation. Hematoxylin-eosin, 10×.
Figure 6
Figure 6. Gynecological examination in Pantaneiro mares. Endometrial biopsy in mare 4 shows moderate proliferation of the fibrous conjunctive tissue, the formation of a glandular island, and glandular dilation. Hematoxylin-eosin, 10×.
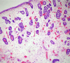
Figure 7
Figure 7. Gynecological examination in Pantaneiro mares. Endometrial biopsy in mare 6 shows intense edema. Hematoxylin-eosin, 10×.

References

    1. Asbury AC. Endometritis diagnosis in the mare. Equine. Vet. Data. 1984;5:166.
    1. Barros SS, Masuda EK. Endometrial biopsy in the mare - diagnosis and prognosis. 2nd. Porto Alegre: Universidade Federal de Santa Maria; 2013.
    1. Brasil . Microbiologia clínica para o controle de infecção relacionada à assistência à saúde. Módulo 6: Detecção e identificação de bactérias de importância médica. Vol. 9. Brasília: Anvisa; 2013. 150 Agência Nacional de Vigilância Sanitária.
    1. Carnevale ME, Olsen ML. Equine reproduction. 2nd. Iowa: Wiley-Blackwell; 2011.
    1. Carno MT. Comparação entre Doses Constantes e Decrescentes de Extrato Pituitário Equina na Indução de Superovulação em Éguas. Botucatu: Faculdade de Medicina Veterinária e Zootecnia, Universidade Estadual Paulista; 2003. p. 156. dissertação.

LinkOut - more resources