Lung Ultrasound in Children with COVID-19: Preliminary Findings
- PMID: 32409232
- PMCID: PMC7196401
- DOI: 10.1016/j.ultrasmedbio.2020.04.026
Lung Ultrasound in Children with COVID-19: Preliminary Findings
Abstract
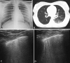
Recent evidence indicates the usefulness of lung ultrasound (LUS) in detecting coronavirus disease 19 (COVID-19) pneumonia. However, no data are available on the use of LUS in children with COVID-19 pneumonia. In this report, we describe LUS features of 10 consecutively admitted children with COVID-19 in two tertiary-level pediatric hospitals in Rome. LUS revealed signs of lung involvement during COVID-19 infection. In particular, vertical artifacts (70%), pleural irregularities (60%), areas of white lung (10%) and subpleural consolidations (10%) were the main findings in patients with COVID-19. No cases of pleural effusions were found. According to our experience, the routine use of LUS in the evaluation of children with suspected or confirmed COVID-19, when performed by clinicians with documented experience in LUS, was useful in diagnosing and monitoring pediatric COVID-19 pneumonia, reducing unnecessary radiation/sedation in children and exposure of health care workers to severe acute respiratory syndrome coronavirus 2 (SARS-CoV-2).
Keywords: Children; Coronavirus disease 19 (COVID-19); Lung ultrasound; Severe acute respiratory syndrome coronavirus 2 (SARS-CoV-2).
Copyright © 2020. Published by Elsevier Inc.
Figures
References
-
- Bradley J.S., Byington C.L., Shah S.S., Alverson B., Carter E.R., Harrison C., Kaplan S.L., Mace S.E., McCracken G.H., Jr, Moore M.R., St Peter S.D., Stockwell J.A., Swanson J.T., Pediatric Infectious Diseases Society and the Infectious Diseases Society of America The management of community-acquired pneumonia in infants and children older than 3 months of age: Clinical practice guidelines by the Pediatric Infectious Diseases Society and the Infectious Diseases Society of America. Clin Infect Dis. 2011;53:e25–e76. - PMC - PubMed
-
- Buonsenso D., Piano A., Raffaelli F., Bonadia N., de Gaetano Donati K., Franceschi F. Point-of-Care Lung Ultrasound findings in novel coronavirus disease-19 pnemoniae: A case report and potential applications during COVID-19 outbreak. Eur Rev Med Pharmacol Sci. 2020;24:2776–2780. - PubMed
Publication types
MeSH terms
LinkOut - more resources
Full Text Sources
Medical
Miscellaneous
