Case Report: Postvaccination Anti-Myelin Oligodendrocyte Glycoprotein Neuromyelitis Optica Spectrum Disorder: A Case Report and Literature Review of Postvaccination Demyelination
- PMID: 32410903
- PMCID: PMC7204366
- DOI: 10.7224/1537-2073.2018-104
Case Report: Postvaccination Anti-Myelin Oligodendrocyte Glycoprotein Neuromyelitis Optica Spectrum Disorder: A Case Report and Literature Review of Postvaccination Demyelination
Abstract
Stimulation of the immune response after vaccination can occasionally result in adverse effects, including demyelination of the central nervous system. The most common presentation of postvaccination demyelination is acute disseminated encephalomyelitis, but cases of optic neuritis, transverse myelitis, and multiple sclerosis relapses have been reported. More recently, an increasing number of postvaccination neuromyelitis optica spectrum disorder (NMOSD) cases have surfaced in the literature, especially in patients with aquaporin-4 antibodies. In this article, we report an unusual case of myelin oligodendrocyte glycoprotein antibody-related NMOSD after the receipt of multiple vaccines in a first-trimester pregnant woman from Africa. We review the reported cases of postvaccination demyelination in the past decade, with a focus on the relationship between NMOSD and vaccination in patients with aquaporin-4 or myelin oligodendrocyte glycoprotein antibodies. Finally, we discuss the clinical relevance of the present case and similar reported cases as it relates to patient care in the neuroimmunology clinic and identify potential areas for future research.
Keywords: Anti-myelin oligodendrocyte glycoprotein (MOG); Multiple sclerosis (MS); Neuromyelitis optica.
© 2020 Consortium of Multiple Sclerosis Centers.
Conflict of interest statement
Dr Abboud is a consultant for Biogen, Genentech, Alexion, Viela Bio, and Genzyme and receives research support from Novartis and Roche. The other authors declare no conflicts of interest.
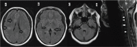
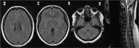
Figures


References
-
- Park-Wyllie L, Mazzotta P, Pastuszak A et al. Birth defects after maternal exposure to corticosteroids: prospective cohort study and meta-analysis of epidemiological studies. Teratology. 2000;62:385–392. - PubMed
-
- Guller S, Kong L, Wozniak R et al. Reduction of extracellular matrix protein expression in human amnion epithelial cells by glucocorticoids: a potential role in preterm rupture of the fetal membranes. J Clin Endocrinol Metab. 1995;80:2244–2250. - PubMed
-
- Marchioni E, Marinou-Aktipi K, Uggetti C et al. Effectiveness of intravenous immunoglobulin treatment in adult patients with steroid-resistant monophasic or recurrent acute disseminated encephalomyelitis. J Neurol. 2002;249:100–104. - PubMed
-
- Oliveira LM, Apóstolos-Pereira SL, Pitombeira MS, Bruel Torretta PH, Callegaro D, Sato DK. Persistent MOG-IgG positivity is a predictor of recurrence in MOG-IgG-associated optic neuritis, encephalitis and myelitis. Mult Scler. 2019;25:1907–1914. - PubMed
Publication types
LinkOut - more resources
Full Text Sources
Miscellaneous