Transection of the origin of the innominate artery: A rare sequela of blunt traumatic chest trauma
- PMID: 32420443
- PMCID: PMC7218212
- DOI: 10.1016/j.tcr.2020.100307
Transection of the origin of the innominate artery: A rare sequela of blunt traumatic chest trauma
Erratum in
-
Erratum regarding missing Declaration of Competing Interest statements in previously published articles.Trauma Case Rep. 2023 Feb 17;45:100796. doi: 10.1016/j.tcr.2023.100796. eCollection 2023 Jun. Trauma Case Rep. 2023. PMID: 37234578 Free PMC article.
-
Erratum regarding missing patient consent statement in previously published articles.Trauma Case Rep. 2023 Mar 1;45:100814. doi: 10.1016/j.tcr.2023.100814. eCollection 2023 Jun. Trauma Case Rep. 2023. PMID: 37234592 Free PMC article.
Abstract
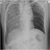
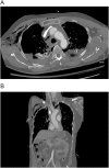
Blunt traumatic transection of the innominate artery is rare. We describe a case of a 36-year-old male who presented to our Emergency & Trauma Center after being struck by a motor vehicle at high speed. Computerised Tomography (CT) scanning after the patient was stabilised facilitated the prompt diagnosis of the injury. The patient underwent open repair by midline sternotomy, with debranching of the innominate artery, using hypothermic circulatory arrest as a neuroprotective measure. The patient was successfully extubated on post-operative day 3, without neurological deficit. We provide our experience as an option for treating any patient that presents with such an injury.
Keywords: Blunt trauma; Innominate artery; Thoracic trauma; Vascular trauma.
© 2020 Published by Elsevier Ltd.
Figures



References
-
- Karmy-Jones R., DuBose R., King S. Traumatic rupture of the innominate artery. Eur. J. Cardiothorac. Surg. 2003;23(5):782–787. - PubMed
-
- Stover S., Holtzman R.B., Lottenberg L., Bass T.L. Blunt innominate artery injury. Am. Surg. 2001;67(8):757–759. - PubMed
-
- Huang C.L., Kao H.L. Endovascular management of post-traumatic innominate artery transection with pseudo-aneurysm formation. Catheter. Cardiovasc. Interv. 2008;72(4):569–572. - PubMed
-
- Rosenberg J.M., Bredenberg C.E., Marvasti M.A., Bucknam C., Conti C., FBJr Parker. Blunt injuries to the aortic arch vessels. Ann. Thorac. Surg. 1989;48(4):508–5135. - PubMed
-
- Veerasingam D., Vioreanu M., M O.D., McCarthy J.F. Traumatic transection of the innominate artery. Interact. Cardiovasc. Thorac. Surg. 2003;2(4):569–571. - PubMed
Publication types
LinkOut - more resources
Full Text Sources