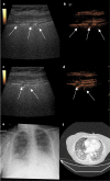
Contrast-enhanced ultrasound (CEUS) of the lung reveals multiple areas of microthrombi in a COVID-19 patient
- PMID: 32424480
- PMCID: PMC7232610
- DOI: 10.1007/s00134-020-06085-4
Contrast-enhanced ultrasound (CEUS) of the lung reveals multiple areas of microthrombi in a COVID-19 patient
Erratum in
-
Correction to: Contrast-enhanced ultrasound (CEUS) of the lung reveals multiple areas of microthrombi in a COVID-19 patient.Intensive Care Med. 2020 Aug;46(8):1666. doi: 10.1007/s00134-020-06148-6. Intensive Care Med. 2020. PMID: 32524171 Free PMC article.
Conflict of interest statement
All the author's declare that they have no conflicts of interest.
Figures

Comment on
-
Findings of lung ultrasonography of novel corona virus pneumonia during the 2019-2020 epidemic.Intensive Care Med. 2020 May;46(5):849-850. doi: 10.1007/s00134-020-05996-6. Epub 2020 Mar 12. Intensive Care Med. 2020. PMID: 32166346 Free PMC article. No abstract available.
References
-
- Henry BM, Vikse J, Benoit S, Favaloro EJ, Lippi G (2020) Hyperinflammation and derangement of renin-angiotensin-aldosterone system in COVID-19: A novel hypothesis for clinically suspected hypercoagulopathy and microvascular immunothrombosis, Clin Chim Acta. 507:167–173, 10.1016/j.cca.2020.04.027. - PMC - PubMed
-
- Trenker C, Dohse M, Ramaswamy A, Michel C, Görg C. Histological validation of pulmonary infarction detected with contrast-enhanced ultrasound in patients with negative computed tomography pulmonary angiogram: a case series. J Clin Ultrasound JCU. 2019;47(8):461–465. doi: 10.1002/jcu.22755. - DOI - PubMed
Publication types
MeSH terms
LinkOut - more resources
Full Text Sources
Other Literature Sources
Medical